ASES License

Acta of Shoulder and Elbow Surgery by http://asesjournal.com/ is licensed under a Creative Commons Attribution-NonCommercial-ShareAlike 4.0 International License.
Contact
Editorial Team: Acta of Shoulder and Elbow Surgery
A-203, Manthan Apts, Shreesh CHS, Hajuri Road
Thane [W]. Maharashtra India- 400604, Tel - 02225834545
Email: editor.asesjournal@gmail.com
Important Links
Publisher
Indian Orthopaedic Research Group
Manthan Apts, Shreesh CHS, Hajuri Road Thane [W]. Maharashtra India- 400604, Tel - 02225834545
Email: indian.ortho@gmail.com

ISSN 2457-0338
MIPO for Humeral Shaft Fractures: Correlation between Radiographic, DASH, and SF-12 results
/0 Comments/in Vol 1| Issue 1| Oct-Dec 2016 /by ASESADMIN2016Acta of Shoulder and Elbow Surgery | Volume 1 | Issue 1 | Oct-Dec 2016 | Page 35-43 | Adriano F Mendes Júnior, José da Mota Neto , Leandro F De Simoni, Carlos Alberto Menezes Mariosa, Bruno G. S. e Souza , Valdeci de Oliveira, Elmano de A Loures.
Authors: Adriano F Mendes Júnior [1,2], José da Mota Neto [1,2,3], Leandro F De Simoni [1,3], Carlos Alberto Menezes Mariosa [3], Bruno G. S. e Souza [2,3], Valdeci de Oliveira [2,3], Elmano de A Loures [2].
[1] Shoulder and Elbow Surgery Group of Juiz de Fora.
[2] University Hospital, Federal University of Juiz de Fora.
[3] Therezinha de Jesus Maternity Hospital.
Address of Correspondence
Dr. Adriano Fernando Mendes Junior
Rua Sampaio, 468, apto. 1402. Centro – CEP: 36010360 – Juiz de Fora, Minas Gerais – Brazil
E-mail: adrianofmjr@yahoo.com.br
Abstract
Introduction: To present the correlation between the clinical and radiographic results of patients with a humeral shaft fracture treated with the MIPO technique. Method: A comparative retrospective study involving 31 patients with diaphyseal fractures of the humerus, from January 2014 to January 2016, with a minimum follow-up of six-months, surgically treated using the MIPO technique through an anterior approach. Outcomes were evaluated prospectively via clinical and radiographic exam, DASH, and SF-12.
Results: mean follow-up of 19-months, with the majority of fractures classified as complex (n = 16; 51.6%) and a healing rate of 90.32%. Mean shoulder range of motion was 167°/57°/T6. In the elbow, mean flexion/extension was 125°/-5°. Non-consolidation occurred in three patients (9.7%), with two pseudoarthroses and one loss of reduction after osteosynthesis. Five patients presented primary radial apraxia, two without recovery from the injury. Secondary radial apraxia occurred in two patients, with full recovery. Patients who did not consolidate the fracture presented greater radiographic coronal deviation (d = 2.2), with the differences being statistically significant. Eight patients (25.8%) had an unsatisfactory DASH, with a longer elapsed time until surgery, less elevation of the shoulder, lower scores on the physical component of the SF-12, and higher pain scores, with statistically significant differences. Conclusion: MIPO demonstrated a 90.32% healing rate in the first six months post-operatively, with good clinical and functional results according to the DASH and SF-12 scores. Injuries by firearm combined with impairment of the radial nerve are related to a worse functional outcome in the sample evaluated.
Evidence Level: III – comparative retrospective study.
Keywords: Diaphyseal fracture of the humerus, osteosynthesis, MIPO, radial nerve paralysis.
Introduction
Diaphyseal fractures of the humerus represent 3 to 5% of the occurrence of all types of fractures,[11,30] with a bimodal age distribution: from 21 to 30 years – mainly due to high-energy trauma, and between 60 and 80 years, in cases of low-energy trauma [5,30]. Conservative treatment is indicated for the vast majority of these fractures,[4] provided they are within the guidelines including: angular deviations less than 20 degrees, rotational less than 30 degrees, and less than 3 cm of shortening, in selected patients [26]. However this can lead to unsatisfactory results associated with malunion of the fracture, pseudoarthrosis, and to weakening of the shoulder girdle [11,31,41]. Surgical treatment is indicated in patients with fractures with unacceptable deviations, polytrauma, with vascular and nerve injury, in obese patients, or in those with an orthostatic placement limitation,[20] with the objective of surgical treatment thus being to avoid these complications and promote early rehabilitation [3]. ORIF with plates and screws is still considered the gold standard of the surgical treatment options,[26] despite the advent of biological techniques such as intramedullary nailing or “bridge plates”. Livani and Belangero presented the clinical results of the bridge plate method for surgical treatment of diaphyseal fractures of the humerus,[20] and Apivatthakakul et al [2], detailed the anatomical landmarks of the technique and described the term MIPO (Minimally Invasive Plate Osteosynthesis). With the MIPO technique, patients experience early and active mobilization of the shoulder and elbow, due to good stability achieved and the minimal surgical aggression of the technique,[20] in addition to the aesthetic benefit of two small incisions. Minimally invasive surgery has the potential to preserve the fracture hematoma, enhancing consolidation, [1,27] with the MIPO method for treatment of diaphyseal fractures of the humerus being considered reproducible, safe, and effective [14,18,20,22,37,38]. There are several characteristics fundamental for MIPO success, such as proper selection of the implant size, and the quantity and distribution of the screws [39]. The use of long plates is recommended for this technique because the longer the plate, the more stable and effective it will be, provided that the system complies with the minimum number of screws on each fracture side. However, according to Tanaka[39], this orientation is empirical. The aim of this study is to evaluate, in a series of patients with humeral shaft fractures surgically treated using the MIPO technique, the clinical and radiographic results of treatment, as well as its impact on the upper limb function and quality of life of the patients. At the same time, we seek to identify the characteristics of fixation systems and their relationship to the consolidation outcome six months after surgery, and possible factors related to treatment failure using this technique.
Methodology
This is a retrospective study of patients with diaphyseal humeral fracture treated surgically using the MIPO technique in tertiary hospitals of our city, by three surgeons participating in the study, from January 2014 to January 2016. All patients operated on in this period were selected and invited to participate. The inclusion criteria were: over 18 years of age, surgery more than six months prior, and surgical treatment of humeral shaft fracture using the MIPO technique through an anterior approach. The exclusion criteria were: prior surgery on the same bone and inability to answer the functional assessment questionnaires or to appear for re-evaluation. This study was approved by the Research Ethics Committee of the institution, under opinion number CAAE 53181116.2.0000.5103. Patients who agreed to participate in the study signed a free and informed consent agreement.
Sample
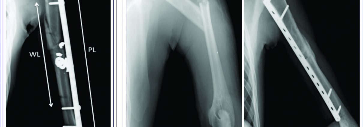
A total of 35 surgeries were performed that met the inclusion criteria during the period from January 2014 to January 2016. Four patients were excluded, three due to death and the other for refusing to participate in the study, totaling a sample of 31 patients, of whom 24 were male (77.4%) and seven female. The mean patient age was 35.3 ± 14.3 years, ranging from 20 to 78 years. We prospectively evaluated the clinical-functional results with a minimum follow-up of six-months, with clinical and radiographic exam data, with EVA[32], DASH[24] functional assessment score, and the SF-12[7] quality of life questionnaire. The DASH results were divided into two groups: satisfactory and unsatisfactory, following the criteria of Chaitanya and Naveen[9]. Medical records data were collected about neurological function before the surgery and after the procedure, the presence of signs of infection of the surgical site, status of the fracture consolidation at six months postoperative, and other associated clinical events. Fractures were classified according to the AO[15] criteria and subsequently divided into simple (type A) and complex (type B and C), with postoperative radiographs being evaluated according to the following parameters: quality of reduction (angular deformity and distance between the main fragments), plate size used, number of screws on each side of the fixation, and working length area of the plate (distance between the screws closest to the fracture site) (Figure 1). Additionally, current radiographs of the humerus in coronal and sagittal views were obtained and were also evaluated regarding the status of consolidation, presence of loosening or failure of the implant, and residual deformity.
Surgical technique
The patient was placed supine and given general anesthesia associated with interscalene brachial plexus block, and antibiotic therapy was carried out with one gram of intravenous cefazolin after anesthesia. The surgical technique used was similar to the technique described by Livani and Belangero[20]. Proximal access was gained, in an incision of approximately 3 to 5 cm, between the brachial tendon of the biceps muscle and the tendon of the deltoid muscle. Soon after, distal access was gained in an incision of about 3 to 5 cm between the biceps and the brachialis muscle. After visualization of the lateral cutaneous nerve of the forearm, the brachialis muscle was separated longitudinally. Narrow DCP plates were used, 4.5 mm (10 to 16 holes), which were inserted from proximal to distal, arm placed in the reduction position, one screw inserted distally and another proximally. At least two more screws, one proximal and another distal, were inserted for final fixation. After surgery, patients were encouraged to actively move the shoulder and the elbow, without load. Outpatient control was conducted at two and six weeks and at three and six months for functional and radiographic reevaluation looking for signs of consolidation.
Outcomes
The primary outcome was the presence or absence of fracture healing at the time of reevaluation (minimum 6 months). Secondary outcomes were the presence of complications, clinical-functional results via the DASH[24] scale, the visual analog score (VAS)[32] for pain, and the quality of life measured by the SF-12 questionnaire [7].
Statistical Analysis
Quantitative variables were described via mean and standard deviation, and qualitative variables via absolute frequency and percentages. Due to the sample size, we opted for the use of nonparametric tests. To test differences between groups in relation to the quantitative variables, we used the Mann-Whitney U test. The effect size was evaluated using Cohen’s d, using the weighted standard deviation, with the following classification for interpretation being adopted: 0.20 – 0:49: Small; 0.50 – 0.79: Medium; ≥ 0.80: Large.[10] To test differences between proportions, Fisher’s exact test was used. In this case, the effect size was evaluated using Cramer’s V, with the following classification for interpretation being adopted: 0.10 – 0.29: Small; 0:30 – 0.49: Medium; ≥ 0.50: Large [10]. All analyses were done with IBM SPSS V24 (IBM Corp., Armonk, NY) statistical software. The value of p <0.05 was adopted for statistical significance. For the variables where this study found a tendency of significance, using the G*Power 3.1 software, the sample size was calculated in order to find statistically significant relationships [13].
Results
Of the 31 participating patients, the mean follow-up time was 19.3 ± 6.1 months. All were right-handed (n = 29; 93.5%), except two. The fracture occurred in the left humerus, in 17 patients (54.8%), and the right humerus, in 14 patients (45.2%). The mean elapsed time until surgery was 6.4 ± 7.0 days, ranging from 0 to 32 days, with a median of five days. The most common cause of the fractures was a car or motorcycle accident (n = 14; 45.2%) and the other causes were: gunshot (n = 7; 22.6%), simple fall (n = 6; 19.4%), and fall from a height or direct trauma (n = 4; 12.8%). The fractures were classified as A in 15, B in 12, and C in 4 cases, grouped into simple (n = 15; 48.4%) and complex (n = 16; 51.6%). Fifteen (15) patients (48.4%) had associated lesions, such as: radial nerve apraxia (n=5; 16.1%), other fractures of the same segment (n = 2), and other lesions (n = 8). The mean range of motion (ROM) of the shoulder was 167° of elevation (± 32.88°), 57° (± 32.88°) of lateral rotation, and internal rotation with mean vertebral level T6 (only four patients had no internal rotation to the thoracic level). In the elbow, the mean ROM was 125° (± 21.05°) in flexion and -5° (± 12.36°) in extension. We found, in our sample, a 90.32% healing rate (28 patients) (Figure 2), with mean values of DASH = 19.2 (± 29.6), SF-12 PCS = 47.1 (±8.7), SF-12 MCS = 52.1 (± 10.7), and VAS = 2.0 (± 2.4) (Table 1).
Table 1: Comparison of clinical evaluation, radiographic measures, and functional scores of patients with healed and non-healed fractures
Non-consolidation of the fracture occurred in three patients (9.7%), with two pseudoarthroses and one loss of reduction after osteosynthesis, and all underwent ORIF with plates and screws. Eight patients (25.8%) had an unsatisfactory DASH, five patients (16.1%) had an unsatisfactory SF-12 PCS, and five patients (16.1%) had an unsatisfactory SF-12 MCS. Among the patients with primary radial nerve apraxia, two did not recover from the injury. Secondary radial nerve apraxia occurred in two patients, who achieved full recovery of function (mean 3.5 months). The comparison of plate characteristics, working length, and clinical-radiological and functional scores of the patients are presented in Tables 1 and 2.
Table 2: Association between possible explanatory factors and the outcome of a non-healed fracture of the humerus
The patients who did not consolidate the fracture presented greater coronal deviation (d = 2.2), less muscle strength (d = 2.2), and lower shoulder elevation (d = 1.8), with the differences being statistically significant, and the observed size of effect being of high magnitude. Considering the variables with a moderate threshold of significance and size of effect, the data suggest that patients who failed to heal the fracture have a greater deviation > 5°, less shoulder rotation, less flexion and extension of the elbow, a higher percentage of unsatisfactory DASH, and a lower SF-12 MCS. For the other variables, no statistically significant differences nor important effect sizes were observed. Comparing the patients with gunshot-induced etiology (GIE) vs. other causes, it was observed that patients with a gunshot wound had a higher percentage of complex fractures (X2 = 8.477; p = 0.007; V = 0.52), a higher percentage of associated lesion (X2 = 5.044; p = 0.04; V = 0.40), a higher percentage of radial apraxia (X2 = 4.775; p = 0.06; V = 0.39), a higher percentage of deviation > 5° (X2 = 6.178; p = 0.03; V = 0.45), and a lower mean age (27.4 ± 8.4 vs. 37.6 ± 15.0 years, p = 0.05). After stratification of the patients with GIE and with radial apraxia, a higher percentage of these patients with an unsatisfactory DASH were observed when compared to other patients with an unsatisfactory DASH (100.0% vs. 17.9%, respectively) (Table 3).
Table 3: Comparison of clinical evaluation, radiographic measures, and functional scores of patients with healed and non-healed fractures
In addition, patients with GIE and radial apraxia presented less shoulder elevation (97.0 ± 76.0 vs. 175.0 ± 13.0; p = 0.02; d = 1.75) and greater pain (4.7 ± 2.3 vs. 1.7 ± 2.3; p = 0.04; d = 1.30) when compared with the other patients, respectively. From a practical point of view, the differences observed were of high magnitude. On the other hand, no association was observed between the SF-12 classification and the etiology of the lesion. Table 4 presents possible predictors of the disabilities assessed by the DASH in patients after surgery. It was observed that patients with an unsatisfactory DASH showed greater elapsed time until surgery, less elevation of the shoulder, lower scores on the physical component of the SF-12, and higher pain scores. The differences seen were statistically significant and the observed size of the effect was of high magnitude. Although they did not attain statistical significance, the presence of radial apraxia and the non-consolidation of the fracture presented a relation with the unsatisfactory DASH of moderate magnitude (Cramer’s V = 0.34 and 0.31, respectively).
Table 4: Variables associated with functionality in patients after humeral surgery
Furthermore, the data suggest that patients with an unsatisfactory DASH have a lower number and density of screws, less elbow flexion, less muscle strength, and a lower mental component of the SF-12. Although statistical significance was not observed, the effect size was high magnitude for these variables. For the variables where this study found a tendency of significance, and considering the 10% prevalence of non-union, 80% power, significance level of 5%, and a moderate size of the effect (Cramer’s V = 0.31 to 0.34) between the risk factor and the non-consolidation of the lesion, a sample size between 68 and 82 patients is estimated for statistically significant associations to be found.
Discussion
Humeral shaft fractures account for 5% of all fractures and the main treatment is still nonsurgical.[30] Nevertheless, this method can result in unsatisfactory clinical outcomes, non-union, and limited range of motion.[9,25] Surgical treatment with MIPO uses the principle of relative stability, enhancing healing,[38] and is a viable treatment option. We found involvement in 77.41% of men and a mean age of 35 years, with the fracture more common on the non-dominant side (54.83%), and that motor vehicle accidents (n = 10; 33.25%) and injuries by firearms (n = 7; 22.58%) were those mainly responsible for the fractures, similar to epidemiological data in the literature.[23,40,42] According to the AO classification, we found a higher incidence of type A (n = 15; 48.38%), followed by type B (n = 12; 37.50%), and C (n = 4; 12.90%), similar to the data in the literature [38, 40]. According to Tanaka [39], in the MIPO osteosynthesis, two factors are used to determine the length of the plate: the pattern of the fracture and the extent of the fracture line. The ratio of the plate length and the extent of the fracture line should be 2 or 3 in those with complex type and 8 to 10 in simple ones [39]. In this study we adopted a standardization of the working length in the X-rays, similar to the length of the initial fracture line. We evaluated the relationship between the implant size and the working length and found the mean value of 1.7, with no statistically significant differences observed between the healed and unconsolidated groups (p = 0.55). As to the screw density, we found a mean of 0.37, which is in accordance with the values below 0.5 that are recommended,[39] and observed no statistically significant differences between the healed and unconsolidated groups (p = 0.47). Large deviations of fragments can change the pattern of fracture healing, and the function. According to Perren[29], the elastic internal fixation is compatible with indirect fracture healing if there are no high levels of strain, which depends on the ratio between the length of the fracture zone and the displacement of the fragments. According to the same theory, strain values above 10% induce bone resorption from the fracture site, inhibiting consolidation. According to Shields[36], residual angular deformity of up to 18 degrees in the sagittal plane and up to 27 degrees in the coronal plane had no statistical correlation with DASH or patient satisfaction level. In patients where there was no consolidation, we observed major deviations in the anteroposterior radiograph (d = 2.2), with statistically significant differences, and the observed size of the effect was of high magnitude. The most common complication of diaphyseal fractures of the humerus is radial nerve palsy, occurring in 2 to 17% of the cases 24, and according to Samardizc et al [33] it can be divided into two types: primary, upon diagnosis of the fracture, and secondary, which arises after surgery. The management of primary apraxia associated with fractures with surgical indication is controversial. According to Liu et al [19], the recovery of the radial nerve function in an acute fracture of the humeral shaft does not depend upon the initial approach. Pailhé et al [28] state that the primary moment of fixation is ideal for exploring the radial nerve path in search of contusions or entrapments. Shao et al [34] does not advise early exploration due to the high rate of spontaneous recovery, indicating it only after 3 months and with signs of fracture healing. Pailhé et al [28] states that the open approach with reduction and fixation with plate and screws in fractures with primary apraxia provided recovery of function in 75% of the cases, in a period of three days. Livani and Belangero [21] used the MIPO technique combined with primary exploration of the nerve path and reported consolidation of all fractures in 3 months, with nerve paralysis recovery in all patients. We note that the five patients with primary apraxia underwent MIPO without primary exploration of the radial nerve, with bone healing in four cases and recovery of function in three. The choice of the MIPO technique without primary exploration of the nerve was also described by Kim et al [17], who reported 36 patients treated with the MIPO technique, with four presenting primary neurapraxia, and that recovery of function occurred in all of them. In open fractures with radial nerve paralysis, Pidhorz [30] states that the exploration should be performed if the fracture requires surgical correction. According to Carrol et al [8], there is an indication for exploration of the radial nerve in cases of fractures caused by firearm projectiles or penetrating wounds. However, Dougherty et al [12] states that surgical stabilization of the fracture depends on the surgical team, the degree of bone injury, and the resources available at the time of treatment. According to Bumbasirevi et al [6], 94% of his patients with fractures had recovery of their case, with low rates of pseudoarthrosis, leading the author to recommend no initial exploration. We found that patients with GIE and radial apraxia had a higher percentage of unsatisfactory DASH compared to other patients. Moreover, they had lower elevation of the shoulder and greater pain complaints. We set a standard, from these results, that in cases of displaced fractures of the humeral shaft from GIE and with clinical radial nerve injury, the fracture is to be stabilized using the MIPO technique, with exploration of the radial nerve. Overall evaluation of patients with functional and quality of life scores is important for measuring results of surgical treatment in trauma. Chaitanya 9 validated the use of the DASH in patients with humeral shaft fractures. Kiely et al [16] showed that the SF-12 can be used to assess quality of life in trauma victim patients, however, the mental component (MCS) proved to be minimally responsive to changes. Our results suggest that patients who do not consolidate present a higher percentage of unsatisfactory DASH, and a lower-SF-12 MCS. Shields et al [35] affirmed that among the independent variables predictive of DASH and SF-12, in patients with a humeral shaft fracture, increasing age influenced the result. This was not corroborated in our study, since we observed that patients with an unsatisfactory DASH presented lower scores on the physical component of the SF-12, and higher pain scores, with statistically significant differences. As limitations of the study we note the retrospective nature, loss of some data such as initial radiographs of some patients, preventing the assessment of the similarity between the ratio of plate size and length of the fracture. We had the loss of follow-up of some patients which, coupled with the small size of our sample, limited some conclusions.
Conclusion
The treatment of diaphyseal fractures of the humerus with an anterior MIPO demonstrated a 90.32% healing rate in the first six months post-operatively, with good clinical and functional results according to the DASH and SF-12 scores. Patients who did not heal the fracture presented greater radiographic coronal deviation. Patients with an unsatisfactory DASH had a longer elapsed time until surgery, less elevation of the shoulder, lower scores on the physical component of the SF-12, and higher pain scores, with statistically significant differences. Injuries by firearm combined with impairment of the radial nerve are related to a worse functional outcome in the sample evaluated.
References
1. An Z, Zeng B, He X, Chen Q, Hu S. Plating osteosynthesis of mid-distal humeral shaft fractures: minimally invasive versus conventional open reduction technique. Int Orthop. 2010 Feb;34(1):131-5.
2. Apivatthakakul T, Arpornchayanon O, Bavornratanavech S. Minimally invasive plate osteosynthesis (MIPO) of the humeral shaft fracture. Is it possible? A cadaveric study and preliminary report. Injury. 2005 Apr;36(4):530-8.
3. Barbieri CH, Mazeer N, Barros MM. Fraturas diafisárias do úmero. Rev Bras Ortop. 1996; 31(7):587-94.
4. Benegas E, Ferreira Neto AA, Bolliger Neto R, Prada FS, Malavolta EA, Marchitto GO. Fraturas da diáfise do úmero. Rev Bras Ortop. 2010;45(1):12-16.
5. Bhandari M, Devereaux PJ, McKee MD, Schemitsch EH. Compression plating versus intramedullary nailing of humeral shaft fractures–a meta-analysis. Acta Orthop. 2006 Apr;77(2):279-84.
6. Bumbasirević M, Lesić A, Bumbasirević V, Cobeljić G, Milosević I, Atkinson HD. The management of humeral shaft fractures with associated radial nerve palsy: a review of 117 cases. Arch Orthop Trauma Surg. 2010 Apr;130(4):519-22.
7. Camelier AA. Avaliação da qualidade de vida relacionada à sáude em pacientes com DPOC: estudo de base populacional com o SF – 12 na cidade de São Paulo [tese]. São Paulo: Universidade Federal do Estado de São Paulo; 2004.
8. Carroll EA, Schweppe M, Langfitt M, Miller AN, Halvorson JJ. Management of humeral shaft fractures. J Am Acad Orthop Surg. 2012 Jul;20(7):423-33.
9. Chaitanya PR, Naveen PR. Clinico-radiological validation of the DASH questionnaire in patients operated for fracture of shaft of humerus. Int J Res Med Sci. 2015 Jan;3(1):287-90 DOI:10.5455/2320-6012.ijrms20150152.
10. Cohen J. A power primer. Psychol Bull. 1992 Jul;112(1):155-9.
11. Denard A Jr, Richards JE, Obremskey WT, Tucker MC, Floyd M, Herzog GA. Outcome of nonoperative vs operative treatment of humeral shaft fractures: a retrospective study of 213 patients. Orthopedics. 2010 Aug;33(8). DOI:10.3928/01477447-20100625-16.
12. Dougherty PJ, Najibi S, Morandi M. Gunshot humerus shaft fractures. Tech Orthop. 2006;21(3):214-7.
13. Faul F, Erdfelder E, Lang AG, Buchner A. G*Power 3: a flexible statistical power analysis program for the social, behavioral, and biomedical sciences. Behav Res Methods. 2007 May;39(2):175-91.
14. Jiang R, Luo CF, Zeng BF, Mei GH. Minimally invasive plating for complex humeral shaft fractures. Arch Orthop Trauma Surg. 2007 Sep;127(7):531-5. DOI 10.1007/s00402-007-0313-z.
15. Kellam JF, Audigé A. Classificação de fraturas. In: Rüedi TP, Buckley RE, Moran CG. Princípios AO do tratamento de fraturas. 2a. ed. Porto Alegre: Artmed, 2009. p. 93-109.
16. Kiely JM, Brasel KJ, Guse CE, Weigelt JA. Correlation of SF-12 and SF-36 in a trauma population. J Surg Res. 2006 May 15;132(2):214-8.
17. Kim JW, Oh CW, Byun YS, Kim JJ, Park KC. A prospective randomized study of operative treatment for noncomminuted humeral shaft fractures: conventional open plating versus minimal invasive plate osteosynthesis. J Orthop Trauma. 2015 Apr;29(4):189-94.
18. Kobayashi M, Watanabe Y, Matsushita T. Early full range of shoulder and elbow motion is possible after minimally invasive plate osteosynthesis for humeral shaft fractures. J Orthop Trauma. 2010 Apr;24(4):212-6.
19. Liu GY, Zhang CY, Wu HW. Comparison of initial nonoperative and operative management of radial nerve palsy associated with acute humeral shaft fractures. Orthopedics. 2012 Aug 1;35(8):702-8.
20. Livani B, Belangero WD. Bridging plate osteosynthesis of humeral shaft fractures. Injury. 2004 Jun;35(6):587-95.
21. Livani B, Belangero WD, Medeiros RC. Fractures of the distal third of the humerus with palsy of the radial nerve: management using minimally-invasive percutaneous plate osteosynthesis. J Bone Joint Surg Br. 2006 Dec;88(12):1625-8.
22. López-Arévalo R, de Llano-Temboury AQ, Serrano-Montilla J, de Llano-Giménez EQ, Fernández-Medina JM. Treatment of diaphyseal humeral fractures with the minimally invasive percutaneous plate (MIPPO) technique: a cadaveric study and clinical results. J Orthop Trauma. 2011 May;25(5):294-9.
23. Malhan S, Thomas S, Srivastav S, Agarwal S, Mittal V, Nadkarni B, et al. Minimally invasive plate osteosynthesis using a locking compression plate for diaphyseal humeral fractures. J Orthop Surg (Hong Kong). 2012 Dec;20(3):292-6.
24. Martins J, Napoles BV, Hoffman CB, Oliveira AS. Versão brasileira do Shoulder Pain and Disability Index: tradução, adaptação cultural e confiabilidade. Rev Bras Fisioter. 2010 nov./dez.;14(6):527-36.
25. Matsunaga FT, Tamaoki MJ, Matsumoto MH, dos Santos JB, Faloppa F, Belloti JC. Treatment of the humeral shaft fractures–minimally invasive osteosynthesis with bridge plate versus conservative treatment with functional brace: study protocol for a randomised controlled trial. Trials. 2013 Aug;14:246.
26. McKee MD. Fraturas da diáfise do úmero. In: Bucholz RW, Heckman JD, Court-Brown CM, editors. Rockwood e green’s: fraturas em adultos. 7a. ed. Barueri: Manole, 2013 p. 1000-38.
27. Oh CW, Byun YS, Oh JK, Kim JJ, Jeon IH, Lee JH, et al. Plating of humeral shaft fractures: comparison of standard conventional plating versus minimally invasive plating. Orthop Traumatol Surg Res. 2012 Feb;98(1):54-60.
28. Pailhé R, Mesquida V, Rubens-Duval B, Saragaglia D. Plate osteosynthesis of humeral diaphyseal fractures associated with radial palsy: twenty cases. Int Orthop. 2015 Aug;39(8):1653-7.
29. Perren SM. Evolution of the internal fixation of long bone fractures. The scientific basis of biological internal fixation: choosing a new balance between stability and biology. J Bone Joint Surg Br. 2002 Nov;84(8):1093-110.
30. Pidhorz L. Acute and chronic humeral shaft fractures in adults. Orthop Traumatol Surg Res. 2015 Feb;101(1 Suppl):S41-9.
31. Rosenberg N, Soudry M. Shoulder impairment following treatment of diaphysial fractures of humerus by functional brace. Arch Orthop Trauma Surg. 2006 Sep;126(7):437-40.
32. Rubbo AB. Avaliação de dor pós-operatória em cirurgia bariátrica [tese]. São Paulo: Faculdade de Ciências Médicas da Santa Casa de São Paulo; 2010.
33. Samardzić M, Grujicić D, Milinković ZB. Radial nerve lesions associated with fractures of the humeral shaft. Injury. 1990 Jul;21(4):220-2.
34. Shao YC, Harwood P, Grotz MR, Limb D, Giannoudis PV. Radial nerve palsy associated with fractures of the shaft of the humerus: a systematic review. J Bone Joint Surg Br. 2005 Dec;87(12):1647-52.
35. Shields E, Sundem L, Childs S, Maceroli M, Humphrey C, Ketz J, et al. Factors predicting patient-reported functional outcome scores after humeral shaft fractures. Injury. 2015 Apr;46(4):693-8.
36. Shields E, Sundem L, Childs S, Maceroli M, Humphrey C, Ketz JP, et al. The impact of residual angulation on patient reported functional outcome scores after non-operative treatment for humeral shaft fractures. Injury. 2016 Apr;47(4):914-8.
37. Shin SJ, Sohn HS, Do NH. Minimally invasive plate osteosynthesis of humeral shaft fractures: a technique to aid fracture reduction and minimize complications. J Orthop Trauma. 2012 Oct;26(10):585-9.
38. Superti MJ, Martynetz F, Falavinha RS, Fávaro RC, Villas Boas LF, Mussi Filho S, et al. Avaliação dos pacientes submetidos à fixação de fraturas diafisárias do úmero pela técnica minimamente invasiva – Placa-ponte. Rev Bras Ortop. 2012;47(3):310-7.
39. Tanaka T. Tomada de decisão e planejamento pré-operatório. In: On Tong G, Bavonratanavech S. Manual de tratamento de fraturas da AO: osteossíntese com Placa Minimamente Invasiva (MIPO). Porto Alegre: Artmed; 2009. p. 95-107.
40. Tytherleigh-Strong G, Walls N, McQueen MM. The epidemiology of humeral shaft fractures. J Bone Joint Surg Br. 1998 Mar;80(2):249-53.
41. Westrick E, Hamilton B, Toogood P, Henley B, Firoozabadi R. Humeral shaft fractures: results of operative and non-operative treatment. Int Orthop. 2016 May.
42. Zogaib RK, Morgan S, Belangero PS, Fernandes HJA, Belangero WD, Livani B. Minimal invasive ostheosintesis for treatment of diaphiseal transverse humeral shaft fractures. Acta ortop. bras. 2014;22(2):94-8.
(Abstract Full Text HTML) (Download PDF)
Arthroscopic Bristow – Latarjet Procedure: Results and Technique after nine-year experience.
/0 Comments/in Vol 1| Issue 1| Oct-Dec 2016 /by ASESADMIN2016Acta of Shoulder and Elbow Surgery | Volume 1 | Issue 1 | Oct-Dec 2016 | Page 27-34 | Jose Carlos Garcia Jr.
Authors: Jose Carlos Garcia Jr [1]
[1] NAEON-Santa Catarina Hospital.
[2] IFOR Hospital.
Address of Correspondence
Dr. Jose Carlos Garcia Jr., MD, MSc, PhD
NÆON-Hospital Santa Catarina-SP-Brazil
Email: jose.cjunior@hsl.org.br
Abstract
Introduction: The Bristow procedure is an established and effective method to treat anterior shoulder instability.
Following the current trend towards minimally invasive procedures, we performed the Bristow technique arthroscopically and assessed the results.
Materials and Methods: This study enrolled 33 patients with more than 2 years of follow-up. We assessed the UCLA score before and after surgery and completed post-surgical assessments of the Rowe score, Simple Shoulder Test (SST) score, and differences in external rotation (DER) at follow-up approximately 2 years or more post-surgery.
Results: At the 2-year follow-up, the average UCLA score increased from 25.48±0.64 (SD 3.67) pre-surgery to 33.03±0.57 (SD 3.26) (p<0.0001). In addition, the mean Rowe score was 93.33±2.00 (SD 10.93; compared with the cutoff score of 75, p<0.0001), the mean SST score was 11.20±0.28 (SD 1.52), and the mean DER was 11.50±1.65 (SD 9.02).
No recurrences of instability or musculocutaneous nerve lesions occurred in the patients.
Conclusion: Together, the UCLA score, SST score, DER, Rowe score and the recurrence rate suggest that the arthroscopic Bristow procedure was effective in treating anterior shoulder instability with short-term follow-up. However, although these results are encouraging, this procedure is not free of complications.
Additional data and prospective trials are important to better understand the possible advantages and disadvantages of this procedure.
Keywords: Latarjet, Bristow, shoulder instability, shoulder dislocation, arthroscopy, arthroscopic.
Introduction
Anterior shoulder instability is one of the most common pathologies of the shoulder [8]. Among the many surgical techniques available to treat anterior shoulder instability, one of the most effective and well known techniques is the transfer of the coracoid and conjoined tendon to the anterior glenoid rim [2]. This procedure was suspected to be originally performed by Walter Rowley Bristow for the surgical treatment of recurrent anterior shoulder instability before 1929 [18]; however, no details on the surgical technique were reported until the Helfet report in 1958 over the technique he learnt in 1939 from Bristow [11]. In 1954, Michel Latarjet established the modern concept of this surgery using one screw to fix the coracoid and splitting the subscapularis in the horizontal direction [15]. Didier Patte et al. disseminated this technique throughout Europe in the 1980s and used two 4.5 mm screws to fix the graft [19]. This procedure involving the transfer of the coracoid and conjoined tendon to the anterior glenoid rim has been modified several times, but these modifications have always respected the principles established by Bristow and Latarjet [14]. Many of these modifications have resulted in successful results with some common complications. The most common complications include loss of external rotation, osteoarthritis, pain, Musculocutaneous nerve lesions and non-unions [10]. These complications have led many surgeons to avoid this procedure and prefer capsular plication with labral reconstruction. Recently, minimally invasive arthroscopic techniques have been developed to perform Latarjet surgery [14 ].Through an intra-articular view, the surgeon is able to better position the graft and avoid some of the possible complications related to positioning, such as recurrence of dislocation and osteoarthritis. The intra-articular view of the insertion site also ensures the presence of bone marrow at the contact area, which allows for a more reliable osteosynthesis [1,14,17]. However, this new approach to the established procedure requires new instruments and increased surgical costs. In 2009, a surgical technique was created to allow the Bristow procedure to be performed with a minimally invasive procedure that uses regular arthroscopic devices and one screw [8]. In this study, we have modified this technique and present the results of 33 patients who underwent the arthroscopic Bristow procedure to treat anterior shoulder instability.
Hypothesis: This new modification of the arthroscopic Bristow procedure, which utilizes regular arthroscopic devices, is an effective procedure to treat patients with anterior shoulder instability.
Purpose: To assess the effectiveness and safety of the modified arthroscopic Bristow procedure.
Methods
This prospective case series study Stage 2a of the IDEAL-Collaboration. From September 2007 to September 2016, 47 patients underwent arthroscopic Bristow-Latarjet procedure. Of these 47 patients, the first three surgeries were not scored before the surgery and were therefore not allowed to take part of this trial. The records of two other patients were lost, one successfully returned to his high impact activities, and the records of the other present just the pictures of his recovered arch of motion. Nine patients present less than two years post surgery. The remaining 33 patients fulfilled the inclusion and exclusion criteria as described in Table 1.
Outcomes
The chosen outcomes included the following:
Modified UCLA score: The UCLA score was primarily created to assess shoulder arthroplasty patients. The modification of the UCLA score allows it to be used for various age groups and different conditions [22];
Simple Shoulder Test (SST);
Rowe score: The Rowe score is a post-surgical assessment that does not allow for a comparison with the condition before the surgery. In contrast, the results are compared with the cutoff point of 75. A score over 75 is considered good, whereas a score over 90 is considered excellent. An unstable shoulder will not result in a Rowe score over 50; therefore, comparing the results with a cutoff score of 75 offers a reasonable assessment of surgical success;
Loss of external rotation with the arm in adduction: The baseline measurements were used as a control and compared to the results at the 2-year post-surgical follow-up. Only differences before and after surgery were recorded. Because we used manual goniometry, external rotation was measured every 5º;
Elevation: The final range of motion was compared to the contralateral side if differences in elevation were greater than 10º; and Dislocation recurrence.
Assessments: Patients were assessed at baseline for external rotation in adduction of the affected shoulder and UCLA score.
Patients were assessed two years post-surgery for external rotation in adduction of the affected shoulder, shoulder elevation, Rowe score, SST score and UCLA score.
Post-surgical assessments also included roentgenograms at two weeks, five weeks and two years after surgery. Computed tomography (CT) scans were also performed when complications were suspected.
Statistical methods
Statistical analyses were performed using Prism6®for Mac (GraphPad Software Inc.).
All data were tested for normality using the D’Agostino and Person test, Shapiro-Wilk test and KS test. Thereafter, the data were assessed according to patient characteristics. The intention to treat (ITT) [24] principle was used whenever possible. Interim sample size was calculated to determine whether the study achieved significance and statistical power as an adaptive design. For all possible assessments, a two-tailed test of significance was used, and p<0.05 was considered statistically significant. Adverse events or complications are reported for all the 33 patients enrolled in the study. In addition, the causes for withdrawal from the study are also reported.
Surgical technique
Under general anesthesia, the patient was placed in the beach chair position with their arms free. A standard posterior portal was established, and the arthroscope was introduced. An arthroscopic pump with 40 mm Hg of pressure was used in the procedure. The patient’s blood pressure was not controlled during the procedure, except in cases of very high blood pressure that could potentially compromise the surgery. Diagnostic arthroscopy was performed, and a portal was placed under the anterior triangle, through the subscapularis. This anterior modified portal was inferior and medial to the traditional anterior portal. The location for the portal could be found using a needle, which was inserted where the surgeon planned to insert the screw. If the surgeon was troubled by the axillary nerve, nerve integrity could be confirmed through arthroscopic visualization using an arthroscope inserted into the lateral portal. The musculocutaneous nerve could also be visualized using this technique.
The arthroscope was returned to the posterior portal. After assessment of the joint and identification of the bony Perthes-Bankart lesion, the anterior glenoid rim was shaved. The rotator interval and coraco-clavicular ligaments were removed, and the lateral part of the coracoid was exposed using an electrocautery device. If necessary, a portion of the anterior capsule can be removed for better visualization. The subscapularis was opened in the same direction as its fibers with a Kelly device through the anterior modified portal. Caution should be taken when passing the device through the modified anterior portal, which is lateral to the conjoined tendon, to avoid nerve injuries. The electrocautery device can also be used at this point. The Kelly device was introduced through the anterior modified portal, and the subscapularis was opened from the bursal side to the articular side, which is similar to the open Bristow procedure. The tendon was opened wide in the middle of the tendon (Fig. 1).
Although the axillary nerve is in close proximity, lesions to this nerve are not common, as in the open Bristow procedure [7].
The anterior modified portal was used to introduce a 2.5 to 3.5 mm drill to the anterior glenoid defect at the location where the screw will be inserted and at the same axis as the glenoid through the subscapularis split. This procedure was performed under direct view using the arthroscope in lateral portal and the drill perpendicular to the shaved anterior glenoid rim. The hole needs to be at least 5-6 mm medial to the glenoid rim and inferior the humeral head equator to avoid redislocation [29] . A guide should be used for the drill to avoid nerve injuries. The Glenoid Bone Loss Instrument Set from Arthrex® (Naples-Fl-USA) (Fig. 2) contains a guide that can be used to make this step safer.
However, in the majority of the procedures performed in this study, we only protected the skin, deltoid and conjoined tendon because direct visualization showed that the drill was at a safe distance from the neurovascular structures. Sometimes the conjoined tendon can be medialized by the guide to enable an optimal position. The subscapularis is not affected during the drilling because of the saline solution used in arthroscopy. The 2.5 to 3.5 mm (depending on the coracoid diameter) drill was inserted until the posterior scapula cortical was felt. The distance from the hole to the glenoid rim was approximately 5 to 6 mm,29 which was measured using a probe and a surgical ruler. If the coracoid length is larger in the horizontal axis than the vertical axis, small corrections can be made by rotating the graft. Then, a second drill of equal size was placed beside the first one to compare and measure the difference in length between the two drills. This second drill is not inserted and no extra hole is made; the drill is only placed besides the other drill to measure the length. This measurement represents the glenoid length, and small differences in this measurement are expected.
The arthroscope was then reinserted into the lateral portal. To find the best portal for the osteotomy, an 18-gauge needle was used, which was inserted lateral to the coracoid and located near the clavicle. Direct visualization using the arthroscope is optimal to determine the most adequate point to insert the osteotome. This portal can also be used to access the superior tip of the coracoid (superior coracoid portal-SCP). The pectoralis minor and the facia were detached through this portal using electrocautery. A small nitrogen saw was inserted through this portal, and the coracoid was carefully cut. A regular osteotome can also be used for this purpose. The direction of the osteotomy is vertical to the coracoid. The risk of breaking the bone is avoided by using a nitrogen saw. The coracoid and the conjoined tendon were pulled out of the body using a Kocher device through the anterior portal (Fig. 3). Any irregularity of the coracoid graft was flattened to improve the contact surface. A hole was made in the coracoid using a 2.5 to 3.5 mm drill in the horizontal axis. The coracoid length was then measured.
However, if the surgeon’s preference is to use the vertical coracoid axis, he/she will also have to drill the inferior part of the coracoid to optimize bone healing and create an extra portal to insert the screw. The best location for this additional portal is just above the coracoid at the location where the screw will be inserted. This location can be better defined using a needle under direct arthroscopic visualization and is located near the clavicle. The use of the vertical position for the coracoid without exteriorization is recommended in heavy and extremely strong patients, where exteriorization is very difficult. We have performed this modification of the procedure when necessary (Fig. 4). However, exteriorization of the coracoid makes the procedure faster and easier, and the length of the anterior portal is not modified. The size of the anterior portal is the same size as the diameter of the coracoid (10-14 mm), as measured intraoperatively using a surgical ruler. This procedure of measuring clearly defines the length of the glenoid and coracoid, and the sum of the two is the exact length of the malleolar screw to be used. A 3.5 to 4.5mm mm malleolar screw was then inserted in the coracoid (Fig. 5). Most commonly, a 34 to 40 mm sized screw is used. For fixation, the arthroscope was reinserted in the posterior portal, and the coracoid plus the conjoined tendon were inserted through the split subscapularis tendon. A Kocher device and a probe are used to make this procedure easier. The screw was inserted into the anterior glenoid rim, and fixation was achieved with the graft in the horizontal position. Often the hole is not easy to locate; therefore, the arthroscope needs to be inserted in the SCP and the lateral portal to improve visualization. The screwdriver can be used as a joystick by using traction of the screw against the screwdriver with a synthetic multifilament number 5 polyester wire. A Kocher device can be inserted in the SCP to avoid the rotation of the coracoid while the screw is fixed(Fig. 6). If the graft is overhanging, sometimes a small rotation of the graft can be enough to correct this problem once the coracoid is more elliptical than circumferential. However, if the graft remains impinging on the humeral head, it can also be shaped using an osseous shaver. Finally, shoulder external rotation was checked using the arthroscope in the posterior portal (Fig. 7). A radiographic exam was also performed (Fig. 8). The portals were closed using nylon 4.0 or 3.0 sutures (Fig. 9) The capsule was never repaired in this arthroscopic procedure; however, it can be performed if desired by the surgeon.
Post-operative care
Post-operative care is similar to that with the open Bristow procedure protocol. The patient will use a shoulder immobilizer during the first five weeks. Minimal movements, such as free elbow flexion and extension and hand and wrist movements, are recommended, and the patient is instructed to avoid external rotation of the shoulder.The patient is encouraged to start pendular movements (external rotation from 0º to 10º) and assisted passive elevation (up to 60º) only after the second week following surgery.External rotation is avoided for five weeks. The progression of external rotation and elevation is in consideration of the patient’s pain level. Gain of range of motion begins only five weeks after the surgery. Aggressive gain of range of motion begins just six weeks after the surgery. Active rotator cuff exercises are also allowed five weeks post-surgery.
All sports can be performed after eight weeks; however, the patient may have poor external rotation at this time point, which may restrict the performance of some sports. Improvement in external rotation will occur approximately six months after surgery.
Results
Overall results
Data loss: Of the 33 patients enrolled in this study, one died due to a car accident, one did not return for post-operative care, and another patient presented with a fracture to the coracoid, which required conjoined tendon tenodesis in the anterior glenoid rim. However, the data from these three patients were included in the study because UCLA baseline evaluations were obtained for these patients. Despite good results for pain, stability and function (UCLA=34), the patient who underwent the conjoined tendon tenodesis was graded postoperatively with the same baseline. Of the 33 patients included in the study, there were 32 males and 1 female with a mean age of 33.34 years (range: 18-60 years old). In total, 11 presented with anterior shoulder instability to the left side and 22 to the right side. The average follow-up time was 4.73 years (range 2-8 years).
The reasons for performing the procedure included bony Bankart lesions compromising 20% or more of the glenoid (20 patients), HAGHL lesions (1), failure of previous labrum reconstructions (7) and an instability severity index score higher than six(5).
Clinical results (effectiveness)
UCLA was assessed in ITT (33 patients), and the results are summarized in Table 2.
The Rowe score was assessed according to defined protocols (30 patients), and the results are summarized in Table 3.
Data showing p<0.0001 signaled for the trial to stop due to the effectiveness of the procedure.21
SST and DER were assessed according to defined protocols (30 patients), and the results are summarized in Table 4.
The frequencies of SST responses are summarized in Table 5.
There were no differences in elevation from the contralateral side of more than 10º, except in 2 cases. Internal rotation was not assessed; however, 9 of 30 patients presented with discomfort during this movement at the extremes of internal rotation, as assessed in question 11 of the SST.
Complications and revisions
i) Intraoperative complications in the 33 patients
a) Coracoid fractures
There were found two intraoperative coracoid fractures:
One was a complete fracture, and the surgeon successfully performed an anterior conjoined tendon tenodesis through the subscapularis split. The other fracture was a partial fracture, and the surgeon performed a coracoid cerclage and successfully completed the arthroscopic Bristow procedure.
b)Nerve lesions
No nerve lesions occurred.
c)Other complications
No other complications occurred.
ii) Post-surgical complications (30 patients): Of the 33 patients enrolled in this study, one died due to a car accident, one did not return for post-operative care, and another patient presented with a fracture to the coracoid, which required conjoined tendon tenodesis of the anterior glenoid rim.
I) Radiographic assessments
a) Coracoid fractures: One patient was found to have a partial coracoid fracture; however, the remaining part of the coracoid was sufficient to avoid redislocation.
b) Non-unions: There were no non-unions.
c) Screw torsion: There were no screw torsions.
d) Osteolysis: Osteolysis was assessed through an axillary roentgenogram and was present in three patients (10%), including two with no clinical repercussions, who refused screw removal, and one patient who underwent screw removal.
e) Osteoarthritis: Osteoarthritis was assessed using a roentgenogram and was present in 2 patients. Both patients presented with moderate arthrosis according to the Samilson & Prieto classification [23], although one patient presented with moderate osteoarthritis before the surgical procedure. Both received follow-up more than 2 years following the surgery (one at 7 years and the other at 5 years).
II) Clinical assessments
Infection: One patient contracted an infection more than 6 months post-surgery, which was the worst outcome observed.
Anterior impingement: Anterior impingement was present in two patients, including the patients with osteolysis. Both patients underwent hardware removal.
Subluxations: There were no subluxations reported.
Instability recurrences: There were no instability recurrences.
Sample size: An interim analysis13 was performed to confirm whether the sample size was suitable for analysis. We enrolled a total of 33 patients to provide data for the sample size calculation20 and determined that the number of individuals was sufficient to answer the research question with respect to an alpha and beta of <0.05.
Discussion
Coracoid transfer to the anterior glenoid rim is one of the most reliable procedures to treat anterior shoulder instability due to the triple-block system, which includes:
1-Conjoined tendon;
2-Tension of the inferior part of the subscapularis with the shoulder during abduction and external rotation; and
3-Bone block [14]
Given that the current trend is to use minimally invasive surgical procedures to reduce surgical trauma and scars, it seems logical to modify established procedures to this new approach. Recently, modifications of the Bristow and Latarjet procedure have been developed to allow the procedure to be performed arthroscopically [1,14,17]. There are several advantages to the use of an arthroscopic coracoid transfer procedure, including better visualization of the insertion area in the anterior glenoid rim, the possibility to correct the graft to avoid overhanging, testing external rotation under direct visualization, treatment of concomitant intraarticular lesions, and a reduction of scars and possibly post-operative pain. In addition, there are several disadvantages, such as higher costs, a steeper learning curve for the surgeon, and a need for specific training. However, in the author’s opinion, the above-listed advantages make arthroscopic modifications of the coracoid transfer procedure a reliable possibility for treating anterior shoulder instability. In this study, fracture of the coracoid was the main complication of this procedure (3 cases). Edwards and Walsh have stated that fracture of the coracoid can be avoided by using the 2-finger technique, which improves torque control.7 Another consideration is the size of the screw; in this procedure, a 3.5 to 4.0 mm screw is more suitable for avoiding fractures compared with a 4.5 mm screw. It is also important to mention that to externalize the coracoid, the surgeon can insert the Kocher device in the soft tissue of the conjoined tendon beside the coracoid, instead of in the graft, to avoid graft fractures. In fact, when considering these 3 points, we felt more confident with the procedure and did not observe any further breakage. Regarding the treatment of the fractures, in 1 case the fracture was not complete and was successfully treated using a synthetic multifilament number 5 polyester cerclage around the coracoid. The partial fracture occurred in the shoulder of the only female in the study and was possibly because the screw was too large (4.5 mm) for her coracoid. In the other case, the fracture was complete and occurred during the fixation step; therefore, we performed a conjoined tendon tenodesis in the anterior glenoid rim using suture anchors similar to the way the procedure was performed in the past by Bristow [11]. The third patient did not require any further procedure. Studies have found no significant differences in cadaveric models when comparing coracoid transfer with conjoined tendon tenodesis only [25,28] .In addition, studies have shown that the coracoid transfer does not need to produce a bone-block effect [6]. In fact, neither the original Bristow nor the original Latarjet procedure presented enough bone to produce a bone-block effect. In the original Bristow procedure, the tip of the coracoid is sutured to the anterior glenoid rim,11 whereas in the original Latarjet procedure, the coracoid graft size is small, which allows for the complete preservation of the pectorals minor insertion in the remaining coracoid [15]. The bone-block effect of some modern variations of the Bristow and Latarjet procedures has added more stability to the original surgical procedures; however, this consideration may only be important for patients who present with Hill-Sachs lesions higher than the glenoid track [27]. Moreover, the data remain inconsistent regarding the best screw diameter for coracoid transfers. Walsh and Boileau successfully performed the procedure using 4.5 mm malleolar screws [26]; Burkhed et al.[3] and Di Giacomo et al.[5] used 3.75 mm screws; and Lafosse et al. used 3.5 mm screws [14]. The author’s personal experience is that screw size is dependent on the patient’s characteristics. For example, a 4.5 mm screw may be used for tall males; however, the most recommended size is 3.5 to 4.0 mm. Walsh and Boileau do not recommend using washers to avoid impingement [4]. However, the use of small washers is recommended when using 3.5 to 4.0 mm screws to better distribute the pressure on the graft without adding impingement. In the arthroscopic Bristow procedure used in this study, osteolysis was found in 3 cases. In the author’s opinion, osteolysis caalso be associated with the high forces that the screw impose on the graft [4]. However, assessments were performed only using X-rays, which is not the most sensitive method. One case of osteolysis was accompanied by impingement and required removal of the screw [9]. The patient with impingement underwent surgery for hardware removal; however, 9 of 30 patients answered no to question 11 of the SST. This result indicates that these patients had difficulty washing the back of the opposite shoulder with the affected extremity. Therefore, impingement may be underestimated by patients, although the author accepts the impingement rate of 9/30 in this study, even if only reported for extreme movements. Because impingement can be linked to the angle of the screw and the graft, it is important to note that higher angles within the arthroscopic procedures should never be more than perpendicular to the glenoid’s border. This is because direct visualization allows the surgeon to have direct control over the position, which avoids overhanging but occasionally causes impingement or discomfort in extremes of internal rotation. Moreover, the author suggests that the size and the obliquity of the graft can influence anterior impingement and the effective glenoid depth [16] In this study, the reoperation rate was 6.67%, which was only for hardware removal and is similar to the 7% reported in the literature for the open Bristow procedure [10]. Osteoarthritis was present in only 2 (6.67%) of the patient’s shoulders, and one of the two patients presented with osteoarthritis before the surgical procedure. This low rate may be associated to better graft positioning and less overhanging. However, the follow-up for assessing osteoarthritis was too small to emphasize these benefits. It is important to insert the coracoid graft in a flush position to avoid both an increase in edge loading and to shift contact pressure to the posterosuperior quadrant of the glenoid [17]. To date, no post-surgical recurrences of instability have occurred; however, the follow-up time may be insufficient to make conclusions regarding this outcome. Regarding the graft position, studies have suggested that a medial deviation of the coracoid of 5 mm or more is associated with a higher failure rate [12]. Therefore, graft positioning may be one advantage of the arthroscopic procedure.In this study, no non-unions were found. This result may be due to better exposure of the marrowbone of the anterior glenoid rim, better visualization during fixation to avoid interpositions and the author’s preference for the horizontal position of the graft. This position allows the biological union of the graft’s marrowbone with the glenoid rim’s marrowbone. However, follow-up assessments were performed only using X-ray, which is not the most sensitive method to detect non-unions. The author believes that one screw is sufficient to fix the coracoid. In Hovelius’ report on the Bristow procedure, he reported 16 redislocations within a sample of 319 shoulders, which included 5% that underwent the Bristow procedure using only 1 screw. Of those patients, 13% presented with a non-union; however, the fibrous union did not affect the recurrence rate, and only 3 patients underwent revision surgery because of the remaining instability [12]. According to Hovelius, the recurrence of instability is linked to medialization of the coracoid graft [12]. Our low rate of recurrence may be due to improved visualization during insertion of the graft; however, the small sample size of our study and the short follow-up period prevent us from confirming this notion. Similar redislocation rates (4%) to those reported by Hovelius were recently reported by Burkhart et al. in 102 patients [3], and Collin et al. in 74 patients [4], and both reports used 2 screws for fixation (Latarjet). The musculocutaneous nerve was the most common nerve injury and was reported in 0.6% of all surgical procedures [10]. The author did not find any nerve dysfunction or lesions; however, similar low rates of nerve compromise have been reported in the literature, and further studies are necessary to suggest any conclusions on nerve safety. The procedure presented in this study uses regular arthroscopic devices and screws, which provides significant cost advantages.
Limitations:
This study was not blinded.
The learning curve for this procedure requires specific and extensive training.
The high rates of coracoid fractures were overestimated because not all of the procedures used the 2-finger technique and smaller screw sizes.
The study was not a comparative study; therefore, comparing other techniques to the technique described in this study was not possible.
The follow-up for osteoarthritis assessment was short. Future assessments will make these data more suitable for analysis.
Conclusion
The UCLA score, SST score, DER, Rowe score and the recurrence rate reported herein suggest that the arthroscopic Bristow procedure is effective in treating anterior shoulder instability with short-term follow-up. However, although these results are encouraging, this procedure is not free of complications. Additional data and more prospective trials are important to better understand the possible advantages and disadvantages of this procedure. In particular, multicenter studies are needed to confirm the effectiveness and safety of this procedure, and new devices are needed to improve the accuracy and ease of using this procedure to treat anterior shoulder instability.
References
1. Boileau P, Bicknell RT, El Fegoun AB & Chuinard C. Arthroscopic Bristow procedure for anterior instability in shoulders with a stretched or deficient capsule: the “belt-and-suspenders” operative technique and preliminary results. Arthroscopy. 2007; 23:593–601.
2. Boileau P, Villalba M, Héry JY, Balg F, Ahrens P & Neyton L. Risk factors for recurrence of shoulder instability after arthroscopic Bankart repair. J Bone Joint Surg Am. 2006; 88:1755–1763.
3. Burkhart SS, De Beer JF, Barth JRH, Criswell T, Roberts C & Richards DP. Results of modified Latarjet reconstruction in patients with anteroinferior instability and significant bone loss. Arthroscopy. 2007; 23:1033-1041.
4. Collin P, Rochcongar P & Thomazeau H. [Treatment of chronic anterior shoulder instability using a coracoid bone block (Latarjet procedure): 74 cases]. Rev Chir Orthop Reparatrice Appar Mot. 2007; 93:126-132.
5. Di Giacomo GD, Costantini A, de Gasperis N, De Vita A, Lin BK, Francone M, et al. Coracoid bone graft osteolysis after Latarjet procedure: A comparison study between two screws standard technique vs mini-plate fixation. Int J Shoulder Surg. 2013; 7:1-6.
6. Douoguih WA, Panchal A, Osbahr D & Parks B. Conjoined tendon transfer vs modified Bristow in a glenoid bone loss model: A biomechanical study. Arthroscopy. 2013; 29:e5-e6.
7. Edwards TB & Walch G. The Latarjet procedure for recurrent anterior shoulder instability: rationale and technique. Oper Tech Sports Med. 2002; 10:25-32.
8. Garcia JC, Garcia JPM, Mattos CA & Zabeu JLA. Arthroscopic Bristow-Latarjet-Like procedure: Surgical technique. Tech Shoulder Elbow Surg. 2009; 10:94-98.
9. Ghodadra N, Gupta A, Romeo AA, Bach BR, Verma N, Shewman E et al. Normalization of glenohumeral articular contact pressures after Latarjet or iliac crest bone-grafting. J Bone Joint Surg Am. 2010; 92:1478-1489.
10. Griesser MJ, Harris JD, McCoy BW, Hussain WM, Jones MH, Bishop JY et al. Complications and re-operations after Bristow-Latarjet shoulder stabilization: A systematic review. J Shoulder Elbow Surg. 2013; 22:286-292.
11. Helfet AJ. Coracoid transplantation for recurring dislocation of the shoulder. J Bone Joint Surg Br. 1958; 40:198–202.
12. Hovelius L, Sandstrom B, Olofsson A, Svensson O & Rahme H. The effect of capsular repair, bone block healing, and position on the results of the Bristow-Latarjet procedure (study III): Long-term follow-up in 319 shoulders. J Shoulder Elbow Surg. 2012; 21:647-660.
13. ICH. Statistical principles for clinical trials (E9). 1998 Available at: http://www.ich.org/fileadmin/Public_Web_Site/ICH_Products/Guidelines/Efficacy/E9/Step4/E9_Guideline.pdf
14. Lafosse L, Lejeune E, Bouchard A, Kakuda C, Gobezie R & Kochhar T. The arthroscopic Latarjet procedure for treatment of anterior shoulder instability. Arthroscopy. 2007; 23:1242e1–1242e5.
15. Latarjet M. [Treatment of recurrent dislocation of the shoulder]. Lyon Chir. 1954; 49:994–997.
16. Lippitt SB, Vanderhooft JE, Harris SL, Sidles JA, Harryman DT 2nd & Matsen FA 3rd. Glenohumeral stability from concavity-compression: A quantitative analysis. J Shoulder Elbow Surg. 1993; 2:27-35.
17. Nourissat G, Nedellec G, O’Sullivan NA, Debet-Mejean A, Dumontier C, Sautet et al. Mini-open arthroscopically assisted Bristow-Latarjet procedure for the treatment of patients with anterior shoulder instability: A cadaver study. Arthroscopy. 2006; 22:1113–1118.
18. Page CM & Bristow WR. The treatment of fractures and dislocations in general practice, 3rd ed. Oxford, Oxford Medical Publications; 1929.
19. Patte D, Bernageau J, Rodineau, J & Gardes J. Unstable painful shoulders. Rev Chir Orthop. 1979; 66:157–165.
20. Peacock JL & Peacock PJ. Sample size for comparative studies: Means. In: Peacock JL, Peacock PJ, editors. Oxford handbook of medical statistics, 3rd ed.Oxford: Oxford University Press; 2011; Kindle ed. position 1459-1508.
21. Pollock SJ. When to stop a clinical trial. BMJ 1992; 305:235-240.
22. Romeo AA, Bach BR & O’Halloran KM. Scoring systems for shoulder conditions. Am J Sports Med. 1996; 24:472-476.
23. Samilson R & Prieto V. Dislocation arthropathy of the shoulder. J Bone Joint Surg Am. 1983; 65:456-460.
24. Streiner D & Geddes J. Intention to treat analysis in clinical trials when there are missing data. Evid Based Ment Health. 2001; 4:70-71.
25. Thomas PR, Parks BG & Douoguih WA. Anterior shoulder instability with Bristow procedure versus conjoined tendon transfer alone in a simple soft-tissue model. Arthroscopy. 2010; 26:1189-1194.
26. Walsh G & Boileau P. Latarjet-Bristow procedure for recurrent anterior instability. Tech Shoulder Elbow Surg. 2000; 1:256-261.
27. Yamamoto N, Itoi E, Abe H, Minagawa H, Seki N, Shimada Y et al. Contact between the glenoid and the humeral head in abduction, external rotation, and horizontal extension: a new concept of glenoid track. J Shoulder Elbow Surg. 2007; 16:649–656.
28. Yamamoto N, Muraki T, An KN, Sperling JW, Cofield RH, Itoi E et al. The stabilizing mechanism of the Latarjet procedure: A Cadaveric Study. J Bone Joint Surg Am. 2013; 95:1390-1397
29. Young A, Baba M, Neyton L, Godeneche A & Walsh G. Coracoid graft dimensions after harvesting for the open Latarjet procedure. J Shoulder Elbow Surg. 2013; 22:485-488.
Video of the Technique
(Abstract Full Text HTML) (Download PDF)
Current Trends in Shoulder Replacement: The Rational for Inlay Arthroplasty
/0 Comments/in Vol 1| Issue 1| Oct-Dec 2016 /by ASESADMIN2016Acta of Shoulder and Elbow Surgery | Volume 1 | Issue 1 | Oct-Dec 2016 | Page 14-19 | Gregory G Markarian, Aboul Deng Bab, John W Uribe.
Authors: Gregory G Markarian [1], Aboul Deng Bab [2], John W Uribe [3]
[1] OAN Sportsmedicine, Naperville, Il.
[2] Atlantic University, School of Medicine.
[3] Professor and Chairman, Department of Orthopaedic Surgery, Herbert Wertheim School of Medicine, Florida International University.
Address of Correspondence
Dr. Gregory G. Markarian, MD, FRCS
OAN Sportsmedicine 10 West Martin Ave Suite 50
Naperville, IL 60540
Email:- drgmark@hotmail.com
Abstract
Introduction: Shoulder arthroplasty utilization worldwide has undergone significant changes in the past two decades. Early on, the procedure volume was relatively small and demonstrated a preference towards hemiarthroplasty. Starting with the new millennium, the overall arthroplasty volume not only drastically increased, but also showed a tendency towards younger patients. Recent reports revealed that more than three quarters of all shoulder arthroplasty procedures are performed as a stemmed total or reverse procedure. Younger patients result in a clear increase in the revision rate across all conventional implant classes as evidenced by arthroplasty registry results. Increased modularity and adaptability of modern stemmed arthroplasty improved the procedure, but remains largely non-anatomic with continued use of spherical humeral head and onlay glenoid components. The purpose of this review is to highlight the technical and clinical advantages of inlay shoulder arthroplasty and to differentiate it from onlay resurfacing procedures and the current trends in shoulder arthroplasty. Resurfacing arthroplasty is an implant class consists of onlay hemi and total resurfacing, partial inlay and total resurfacing. The distinction is important as onlay procedures use spherical humeral head and onlay glenoid components whereas inlay arthroplasty is taking the geometrical humeral head mismatch into consideration and avoids glenoid related joint line changes. In keeping the glenohumeral joint volume near the native conditions, biomechanical and kinematic advantages can be appreciated. Registry results showed the lowest 5 year cumulative revision rate for partial inlay arthroplasty across the treatment spectrum and clinical results from stemless total resurfacing using non-spherical humeral head and inlay glenoid components display great promise for a new path in primary shoulder arthroplasty.
Introduction
Shoulder arthroplasty as a specialty has undergone significant changes in the new millennium (11,19,24,39,44). This did not only cause a marked increase in procedure volume, but also a shift in the use of specific implant classes and age related trends towards younger patients (2,37,43). Combined, these factors have led to a substantial increase in revisions (44) and may have a significant impact on the long term management of shoulder patients. In the context of these developments, contemporary primary shoulder arthroplasty continues to show a disregard for joint preservation and anatomic surface reconstruction with preferential use of stemmed total and reverse procedures (11,35,43,44). Modularity and adaptability are important aspects of modern stemmed procedures (4,16,48); however, with continued use of spherical humeral head and onlay glenoid components, these procedures remain largely non-anatomic. The purpose of this review is to summarize trends in shoulder arthroplasty and present a rational for inlay arthroplasty as a less invasive alternative in primary shoulder replacement.
Morphology and Biomechanics of the Humeral Head
Since the introduction of modern shoulder arthroplasty by Neer (36), evidence on the non-spherical nature of the humeral head (HH) has steadily increased for more than 50 years with reports on biomechanical and morphological data that reference the native shape of the humeral head. In 1955, Neer (36) described the superior edge of the humeral head as somewhat flattened. In 1979, Clarke (8) showed that the best match to the plane of the cross sectioned humerus was in form of an elliptical shape. This was reconfirmed by multiple studies over the following three decades (1,3,6,18,20,21,31,42,49,50). Other studies comparing the major and minor planes of the HH reported a dimensional mismatch with a range from 1.6 to 6.5 mm (8,18,20,21,22,42,49). The principal goal for primary shoulder arthroplasty is to restore normal glenohumeral joint kinematics (23). Jun et al. (22) compared custom non-spherical and commercially available spherical implants to the native humeral head and showed that the non-spherical shape fit the native HH better. The study reported a significant reduction in rotational range of motion for spherical heads (mean 7.6 +/- 8.2 degrees) compared to the native humeral head; no statistical difference in rotational range of motion was found between the non-spherical and native conditions. The authors concluded that the use of non-spherical heads may improve functional results after shoulder arthroplasty by more closely approximating the rotational range of motion and kinematics of the native humeral head as compared to the current spherical prosthetic designs. The kinematical advantages of non-spherical implants were reconfirmed by the authors in their most recent publication: The non-spherical humeral head shape contributed to increased glenohumeral translation whereas the aspherical head shape did not show significant glenohumeral translation during humeral axial rotation, regardless of glenoid conformity (23).
Trends in Shoulder Arthroplasty
Procedure Volume
In 1993, the US shoulder arthroplasty volume included 13837 procedures with a slight preference for hemiarthroplasty (54%) over total shoulder arthroplasty (46%). In 1999, the total volume had increased to 19113 procedures and the preference for hemiarthroplasty remained (56%) (24). Since the start of the new millennium, shoulder arthroplasty experienced a drastic rise. The American Academy of Orthopaedic surgeons (AAOS) reported an absolute increase in primary procedures from 18,621 discharges in the year 2000 to 45,274 discharges in 2011 (2) with other estimates reporting a total of 66,485 for the same year (43). The Australian orthopaedic association’s annual shoulder arthroplasty registry report mirrored this trend. Since 2004, the registry recorded 32,406 shoulder replacement procedures (35). Starting in 2008, the number of shoulder replacement procedures has increased by 88.5%. Dillon et al. published their results on 6,336 primary shoulder arthroplasties recorded from 2005 – 2013 in the Kaiser Permanente shoulder arthroplasty registry (11). Procedures were classified as a total shoulder arthroplasty in 48%, followed by hemiarthroplasty procedures in 34%, reverse total shoulder arthroplasty in15%, and humeral head resurfacing in 3%. Shoulder arthroplasty utilization was based on the following diagnoses: Osteoarthritis (60%), fracture (17%), cuff tear arthropathy (15%), and avascular necrosis (2.6%). The all cause revision rate for elective shoulder arthroplasty was 4%. The most common reason for revision was glenoid wear following hemiarthroplasty or onlay humeral head resurfacing (27% of all revisions) followed by deep infection (20%), instability (18%), rotator cuff tear (17%), and glenoid component failure. Patients less than 60 years of age receiving a hemiarthroplasty had an almost 5 times higher revision risk than those patients who received a TSA.
Patient Age
From 2000 to 2011, the AAOS report (2) showed a 5% increase in total shoulder replacement in patients between 45 – 64 years old (29 –34%), whereas patients 65 – 84 years essentially remained unchanged with a 1% reduction over the same period. The proportion of partial shoulder replacements in middle-aged patients increased by 10% (25 – 35%) (2). US inpatient sample estimates showed that 53% of all patients treated with reverse total shoulder arthroplasty were less than 75 years old. The same applied for 50% of total shoulder arthroplasty (TSA) and 32% of hemiarthroplasty (43).
Procedure Type
Based on current Australian utilization, primary total shoulder replacement is the most common category (71.8%), followed by primary partial (17.9%) and revision procedures (10.3%). The proportion of total shoulder replacement has increased from 57.5% in 2008 to 82.1% in 2015. The majority of this increase has been led by a more than a fourfold increase in reverse total shoulder arthroplasty over this time frame. Between 2008 and 2015, partial shoulder replacement decreased from 32.6% to 7.2% (35). A similar trend towards total shoulder replacement has been reported in the US. Schwartz et al. showed a fivefold increase in primary total shoulder utilization based on a national hospital discharge survey with data from 2001 to 2010 (44). Based on 2011 estimates published by Schairer et al. (43), 32.6% of all procedures were reverse shoulder arthroplasties (RSA), 44.2% were total shoulder replacements, and 23.2% were hemi arthroplasty procedures.
Revision Rates by Age
Shoulder implant classes demonstrate an overall trend towards higher revision rates with younger patient age. The 5 year cumulative percent revision for primary hemi onlay resurfacing in patients under 55 years was 10.4, compared to 8.1 in the 65-74 year old patients and 6.6 in patients over 75 years. Similar 5 year trends were reported for primary stemmed hemiarthroplasty with a revision rate of 13.1 (<55 years) versus 7.0 (>75 years) and 11.0 (<55 years) versus 6.7 (>75 years) for primary stemmed TSA (35).
Hemi versus Total Shoulder Replacement
Several comparative studies support the preference towards TSA. A systematic review and meta- analysis conducted by Bryant et al. (5) compared TSA to hemiarthroplasty (HA) at a minimum of 2 years follow up. A total of 112 patients (62 TSA, 50 HA) were included in the review. The authors concluded that TSA showed better functional improvement than HA and contributed continuous degeneration of the glenoid to the result. In a 10-year update, Sandow et al. showed that 42 percent of the surviving TSA patients rated their shoulders as pain free while none of the HA patients were free of pain at 10 years (41). Radney et al. (40) conducted a systematic review comparing TSA to humeral head replacement (HHR) and concluded that TSA significantly improved pain relief, range of motion and patient satisfaction. TSA also had a significantly lower revision rate (6.5%) compared to patients undergoing HHR (10.2%). Garcia et al. (13) reported on patients with osteoarthritis (OA) who wished to return to sports following a total or hemi shoulder arthroplasty. He found that the rate of return to sports was significantly better after TSA compared with HA. In addition, the HA patients had significantly more pain, worse surgical satisfaction, and a decreased ability to return to high upper extremity use sports.
Inlay Arthroplasty
Shoulder resurfacing as a less invasive alternative to stemmed arthroplasty has been popularized by Copeland and Levy (27-29,34). Despite the inherent advantages from a joint preservation perspective, the use of spherical onlay implants has not been void of criticism. Five year revision rates for hemi onlay resurfacing (10.6%) have been higher than their stemmed counterparts (8.5%) (35). Despite previous reports of overstuffing or varus placement (32,45), underlying reasons are not yet fully understood. Inlay arthroplasty (IA) represents a departure from the use of spherical humeral head configurations. The concept was introduced more than decade ago and started with partial humeral head surface reconstruction, which was expanded in recent years to full head coverage. The system consists of various humeral head diameters ranging from 25 to 58mm. Each diameter has an array of shapes that allows for congruent surface reconstruction within the curvature of the humeral head. The two piece implant consists of a screw that is placed into the center of the defect for the purpose of fixation and surface measurement and an articular component that matches the superior-inferior (SI) and anterior-posterior (AP) curvatures of the surrounding surface. The contour is mapped intraoperative, corresponding surface reamers prepare an implant bed, and the screw and articular component are connected via morse taper. The surgical procedure has been described in detail previously (17,46,47). IA uses anatomic references to reconstruct the native geometry. Neither stemmed procedures, nor onlay resurfacing procedures take the non-spherical humeral head morphology into consideration; however, IA preserves anatomic landmarks for intraoperative measurements and reconstruction thereby keeping soft tissue tension and the moment arms of the shoulder muscles intact. Technical challenges associated with stemmed procedures are avoided by maintaining humeral head height, version, offset, and joint volume. This may not only have positive implications for postoperative recovery and rehabilitation, but also reduces the risk of implant related pressure on the rotator cuff and subscapularis repair following the customary deltopectoral approach. Hemi and total onlay resurfacing procedures using spherical implants reference the implant diameters off the larger superior-inferior humeral head plane to gain complete surface coverage. The non-physiological joint volume increase in the anterior-posterior plane can be avoided by using non-spherical implants that respect the SI – AP mismatch. Similar to onlay total shoulder resurfacing, IA allows for total resurfacing of the glenoid vault using dedicated 30 degree off axis reamers. Following preparation of the humeral head, the glenoid vault is accessed from the front using a circular paddle reamer. Single or double circle inlay glenoid components allow for surface reconstruction without lateralizing the joint line. Keeping glenohumeral volume contributions at their native levels may have positive implications for postoperative pain relief and functional improvements.
Biomechanical Comparison
The concept of inlay glenoid resurfacing has been previously described by Gunther et al. (15). Following cyclic loading to 100,000 cycles, no inlay glenoid components demonstrated signs of loosening. Finite element analysis results indicated that the inset technique achieved up to an 87% reduction in displacement compared with the onlay pegged implant and a 73% reduction compared with the onlay keel implant. Onlay implants exhibited high stress at the implant edges in form of a rocking-horse stress distribution, whereas the inset design did not show the rocking-horse stress distribution. The authors concluded that cyclic loading and finite element analysis support the concept of inset glenoid fixation in minimizing the risk of glenoid loosening. Recently, Gagliano et al. (12) presented their results comparing onlay versus inlay glenoid prosthetic design survivorship characteristics in total shoulder arthroplasty at the 2015 Orthopaedic Research Society Meeting (ORS). The study showed visible loosening in all onlay implants in less than 2000 cycles, whereas none of the inlay components showed signs of loosening following 4000 cycles. A biomechanical study by Hammond et al. (17) reported on the comparison of the intact glenohumeral joint to that following HH inlay arthroplasty and stemmed hemiarthroplasty. IA restored the center of rotation more closely than stemmed hemiarthroplasty and the glenoid had demonstrated less eccentric loading. The authors concluded that IA may provide better functional outcomes for patients as the biomechanics of the joint and the moment arms of the rotator cuff and deltoid more closely resembled the intact condition.
Clinical Results
The Australian Shoulder Arthroplasty Registry has been reporting on inlay arthroplasty since 2010. While the procedure volume has remained low, the revision rate (RR) has shown dramatic differences comparing partial inlay arthroplasty to other implant classes. In the 2016 report (35), the 5 year cumulative RR of partial inlay arthroplasty was 1.5%. No other implant class showed comparable registry results. As an implant class, hemi onlay resurfacing at 5 years had a cumulative revision rate of 10.6%, which was highest with Global CAP implants (12.8%, primary diagnosis OA), followed by Copeland (9.1%, primary diagnosis OA), and Aequalis (9.0%, primary diagnosis OA). These results highlight the importance of differentiating among inlay and onlay surface reconstruction methods. When addressing the glenoid as well, the 5 year cumulative revision rate of total onlay resurfacing was lowered to 7.3%. For comparison, the 5 year RR for stemmed hemiarthroplasty was 8.5%, for stemmed total shoulder arthroplasty 8.1%, and for total reverse arthroplasty 4.6%. It remains important to view registry and literature reports in the context of patient age and clinical exit opportunities. Procedures that are amenable for younger patients will be subject to higher demands and increased RR as reported earlier. End stage procedures such as stemmed total shoulder replacement and reverse arthroplasty face increasing technical demands when revision procedures become necessary. The management of patient expectation is generally more restrictive in these arthroplasty solutions when compared to less invasive alternatives and may impact the patients’ desire to undergo further surgery. Therefore, end stage procedures may show a false positive revision rate due to the lack of treatment alternatives. Advanced stages of osteonecrosis of the Humeral Head (ONHH) with separation of the subchondral bone or contour collapse are typically managed with arthroplasty. Uribe et al. reported on the use of partial inlay arthroplasty for advanced stage ONHH (47). The consecutive series of 12 shoulders (9 female, 2 male, one bilateral, mean age 56 years) was staged according to the Cruess classification and included five Stage III, 6 Stage IV, and one Stage V. All procedures were performed on an outpatient basis. The average procedure time was 41 minutes (range 23 to 62 min), blood loss was less than 100ml, no patient required transfusions peri-operatively and no complications were encountered. At an average follow up of 30 months, all patients reported significant pain relief. Visual analogue scales improved from 75 to 16 at the time of final evaluation. The mean Western Ontario Osteoarthritis of the Shoulder index score significantly improved from 1421 preoperatively to 471 postoperatively. The mean Shoulder Score Index score improved from 24 preoperatively to 75 postoperatively. The mean Constant score improved from 23 preoperatively to 62. Forward elevation improved from a mean of 94° to 142° (P < .001). External rotation improved from a mean of 28° to 46° (P < .001). All postoperative radiographs showed solid fixation of both implant components and no evidence of periprosthetic loosening, osteolysis, or device migration. In a retrospective case series of 19 patients (16 men, 3 women, 20 shoulders), Sweet et al. (46) reported their findings on inlay arthroplasty in young patients (average age of 48.9 years). Preoperative diagnoses included osteoarthritis in 16 shoulders and osteonecrosis in 4. At a mean follow-up of 33 months (range, 17-66 months), the mean American Shoulder and Elbow Surgeons score improved from 24.1 to 78.8, the mean Simple Shoulder Test score improved from 3.95 to 9.3, the mean visual analog scale score was reduced from 8.2 to 2.1, mean forward flexion improved from 100 degrees to 129, and the mean external rotation changed from 23 to 43 degrees (P<.001 for all). Radiographic examination showed no evidence of periprosthetic fracture, component loosening, osteolysis, or device failure. The overall patient shoulder self assessment was 90% poor prior to the procedure and improved to 75% good to excellent at final follow-up; 90% of patients were satisfied with the choice of the procedure. Three patients experienced postoperative complications unrelated to the prosthesis, that included a partial rotator cuff tear treated with physical therapy, a pre-existing glenoid wear which was effectively addressed with arthroscopic debridement and microfracture, and one infection that was complicated by a subscapularis rupture requiring several subsequent surgical interventions but with retention of the implant. The authors concluded that inlay arthroplasty is effective in providing pain relief, functional improvement, and patient satisfaction and called it a promising new direction in primary shoulder arthroplasty for younger and active patients with earlier stage disease. Since 2007, several authors advocated the use of IA in patients with Hill-Sachs lesions (7,10,14,25,26,33,38). Potential advantages were attributed to the anatomically contoured surface reconstruction, minimizing soft-tissue disruption, individual sizing, avoiding the limitations of autograft tissue, conservation of bone stock, short operative time, no associated graft resorption and subsequent hardware removal, and lack of disease transmission. Moros and Ahmad presented a case report with 2 years follow-up and reported full arm function with no pain, instability, clicking, catching, or dislocation. Range of motion was without limitations and the patient had returned to full work duties as a porter (33). In 2015, McKenna et al. (30) published their rational for outpatient treatment of compensated cuff arthropathy using inlay arthroplasty with subscapularis preservation. Using strict early disease stage selection criteria and addressing all primary and secondary pain generators, the authors concluded that the use of humeracromial IA in compensated cuff arthropathy has distinct advantages as the technique preserves the glenohumeral joint and avoids the bone loss and complications associated with stemmed arthroplasty. A deltoid splitting approach may reduce the risk of iatrogenic muscle imbalance leaving the subscapularis tendon intact. The outpatient procedure enabled patients to undergo an accelerated recovery and rehabilitation with emphasis on the deltoid driven functional compensation. Detailed results on their first 50 subjects treated since 2007 are pending to date. Most recently, Davis et al. (9) published their series of 9 patients treated with total shoulder arthroplasty combined with inlay glenoid components for glenoid deficiency. Four glenoids were classified as Walch type A2, 2 as type C, and 3 were unable to be classified. At a 34 month follow-up, seven patients (4 female and 3 male patients; 9 shoulders) with a mean age of 66 years showed a statistically significant increase in range of motion, decrease in pain scores (8 points to 1 point), and improvement in Single Assessment Numeric Evaluation scores (31.7% to 89.4%). The mean patient satisfaction score was 8.6 points on a 10-point scale. The authors concluded that management of the glenoid with severe retroversion or medial bone loss remains a challenging procedure at all levels of surgical expertise. Based on their 2-year follow-up, total shoulder arthroplasty with a mini glenoid component may be an option to address a glenoid deficiency and offer adequate pain relief and functional results.
Our own experience with stemless total shoulder arthroplasty using non-spherical humeral head resurfacing and inlay glenoid replacement has been very encouraging. In the ongoing prospective study, a total of 70 patients (74 shoulders) were treated for advanced glenohumeral arthritis. 38 reached their 2 year follow-up mark. Of those, 2 have been lost to follow-up and 2 did not consent to participate further. Thus 34 patients (36 shoulders, 20 male, 14 female) have reached a mean follow-up of 30 months (24-39 months). Their mean age was 65.9 years (range 45 – 81 years). All clinical outcomes scores showed statistically significant improvements (p<0.001): The mean ASES Score improved from 27.9 – 75.4, the Constant Score improved from 26.9 – 73.0, and the WOOS Index improved from 29.2 – 82.9. Range of motion improved in all dimensions particularly for forward flexion from 102° to 155° and internal rotation from the hip pocket to L3. The VAS Pain Score improved from 7.8 to a mean of 1.4. Patient satisfaction at last follow-up was excellent. All surgeries were performed on an outpatient or 23 hour admission basis. No patient required a transfusion. One patient suffered from a deep infection resulting in glenoid component loosening which was removed. Aside from this complication, radiographs showed no evidence of component loosening or migration. A subset of these patients demonstrated remarkable functional performance at a competitive level of bodybuilding or powerlifting. Five male athletes with an average age of 45.6 years (range 25-57) were prospectively followed. All had advanced glenohumeral arthritis and expressed a strong desire to continue their sport. All were treated utilizing stemless non-spherical resurfacing of the HH combined with an inlay glenoid. There were no blood transfusions and all cases were performed on an outpatient patient basis. The mean follow-up was 31 months (range, 16 – 51). The average ASES score improved from 26 to 93. The mean WOOS score improved from 18 to 87. The mean VAS pain score went from 9 to 1, mean forward flexion increased from 115° to 135°, mean external rotation from 30 ° to 60°; the preoperative internal rotation allowed patients to reach sacrum levels which improved to lumbar level 3 post-surgery. Four out of five patients assessed their shoulder as poor prior to surgery which improved to good to excellent in all subjects at follow-up. Radiographic assessment revealed no evidence of component loosening, glenoid migration, or evidence of device failure. All patients were satisfied with the choice of the procedure with 4 of the 5 reported to have returned to at least moderate weight lifting activities. One patient required an arthroscopic capsular release for arthrofibrosis which significantly improved function. In this difficult patient population, stemless non-spherical humeral head resurfacing along with an inlay glenoid has been a reliable and effective option for the management of symptomatic osteoarthritis and allowed athletes to return to their sport. The risk for future prosthetic problems or other complications appears less likely than with standard TSA although longer follow-up is necessary.
Conclusion
Current trends in shoulder arthroplasty have marginalized joint preservation despite a significant increase in volume and a tendency towards younger patients. The predominant use of non-spherical, non-anatomic solutions with stemmed total and reverse shoulder arthroplasty combined with a lack of distinction between inlay and onlay resurfacing procedures turned the specialty away from individual patient decisions and created a conventional treatment spectrum. Inlay arthroplasty shows great promise both from a biomechanical and clinical perspective to offer an individual alternative in primary arthroplasty. Patients may benefit from tissue preservation and a less invasive procedure that avoids the risks, and technical challenges associated with stemmed procedures. Respecting the humeral head geometry mismatch and avoiding glenohumeral joint volume alterations, inlay arthroplasty may become a new path for high demand and sedentary patients alike. However, larger procedure volumes have to be validated through registry and literature reports in order substantiate the presumed advantages.
References
1. Amstutz HC, Sew Hoy AL, Clarke IC (1981)’UCLA anatomic total shoulder arthroplasty. ‘ Clin Orthop Rel Re,s 155, pp. 7-20.
2. Annual Incidence of Common Musculoskeletal Procedures and Treatment. Department of Research and Scientific Affairs. American Academy of Orthopaedic Surgeons (AAOS 2014) http://www.aaos.org/research/stats/CommonProceduresTreatments-March2014.pdf
3. Boileau P, Walch G (1997) ‘The three-dimensional geometry of the proximal humerus. Implications for surgical technique and prosthetic design.’ J Bone Joint Surg, 79B(5), pp. 857- 865.
4. Boileau P, Sinnerton RJ, Chuinard C, Walch G (2006) ‘Arthroplasty of the shoulder.’ J Bone Joint Surg Br, 88(5), pp. 562-575.
5. Bryant D, Litchfield R, Sandow M, Gartsman GM, Guyatt G, Kirkley A (2005) ‘Acomparison of pain, strength, range of motion, and functional outcomes afterhemiarthroplasty and total shoulder arthroplasty in patients with osteoarthritis of the shoulder. A systematic review and meta-analysis.’ J Bone Joint Surg Am, 87(9), pp. 1947-1956.
6. Büchler P, Farron A (2004) ‘Benefits of an anatomical reconstruction of the humeral head during shoulder arthroplasty: a finite element analysis.’ Clin Biomech Bristol, 19(1), pp. 16-23.
7. Bushnell BD, Creighton RA, Herring MM (2008) ‘Bony instability of the shoulder.’ Arthroscopy, 24(9), pp. 1061-73.
8. Clarke IC, Gruen TAW, Sew Hoy A, Hirschowitz D, Maki S, Amztutz HC (1979) “Problems in gleno-humeral surface replacements- real or imagined?’ Eng Med, 8, pp. 161- 175.
9. Davis DE, Acevedo D, Williams A, Williams G (2016)0’ Total shoulder arthroplasty using an inlay mini-glenoid component for glenoid deficiency: a 2-year follow-up of 9 shoulders in 7 patients.’ J Shoulder Elbow Surg, 25(8), pp. 1354-1361.
10. Dawson CK, Rolf RH, Holovacs T (2008) ‘Management of localized humeral head defects in the athlete. ‘Oper Tech Sports Med, 16, pp. 14-20.
11. Dillon MT, Ake CF, Burke MF, Singh A, Yian EH, Paxton EW et al (2015) ‘The Kaiser Permanente shoulder arthroplasty registry: results from 6,336 primary shoulder arthroplasties.’ Acta Orthop, 86(3), pp. 286-292.
12. Gagliano JR, Sarah M, Helm SM, Colbath GP, Przestrzelski BT, Desjardin JD et al. (2015) ‘Comparison of Onlay vs. Inlay Glenoid Prosthetic Design Survivorship Characteristics in Total Shoulder Arthroplasty.’ Annual Meeting, Orthopaedic Research Society.
13. Garcia GH, Liu JN, Mahony GT, Sinatro A, Wu HH, Craig EV, Warren RF et al. (2016) ‘Hemiarthroplasty Versus Total Shoulder Arthroplasty for Shoulder Osteoarthritis: A Matched Comparison of Return to Sports.’ Am J Sports Med. pii: 0363546516632527. [Epub ahead of print]
14. Grondin P, Leith J (2009) ’Case series: Combined large Hill-Sachs and bony Bankart lesions treated by Latarjet and partial humeral head resurfacing: a report of 2 cases.’ Can J Surg, 52(3), pp. 249-54.
15. Gunther SB, Lynch TL, O’Farrell D, Calyore C, Rodenhouse A (2012) ‘Finite elementanalysis and physiologic testing of a novel, inset glenoid fixation technique.’ J Shoulder Elbow Surg, 21(6), pp. 795-803.
16. Habermeyer P, Ebert T(1999)’ Current status and perspectives of shoulderreplacement.’ Unfallchirurg, 102(9), pp. 668-683.
17. Hammond G, Tibone JE, McGarry MH, Jun BJ, Lee TQ (2012) ‘Biomechanical comparison of anatomic humeral head resurfacing and hemiarthroplasty in functional glenohumeral positions.’ J Bone Joint Surg Am, 94(1), pp. 68-76.
18. Harrold F, Wigderowitz C. (2012) ‘A three-dimensional analysis of humeral head retroversion.’ J Shoulder Elbow Surg 21, pp. 612-617.
19. Hawi N, Tauber M, Messina MJ, Habermeyer P, Martetschläger F (2016) ‘Anatomicstemless shoulder arthroplasty and related outcomes: a systematic review.’ BMC Musculoskelet Disord. 17(376), pp. 1-10.
20. Hertel R, Knothe U, Ballmer FT (2002) ‘Geometry of the proximal humerus and implications for prosthetic design.” J Shoulder Elbow Surg 11, pp. 331-318.
21. Iannotti JP, Gabriel JP, Schneck SL, Evans BG, Misra S (1992) ‘The normal glenohumeral relationships.’ J Bone Joint Surg, 76A(4), pp. 491-500.
22. Jun B-J, Iannotti JP, McGarry MH, Yoo JC, Quigley RJ, Lee TQ. (2013) ‘The effects of prosthetic humeral head shape on glenohumeral joint kinematics: a comparison of non-spherical and spherical prosthetic heads to the native humeral head.’ J Shoulder Elbow Surg, 22, pp. 1423-1432.
23. Jun BJ, Lee TQ, McGarry MH, Quigley RJ, Shin SJ, Iannotti JP (2016) ‘The effects of prosthetic humeral head shape on glenohumeral joint kinematics during humeral axial rotation in total shoulder arthroplasty. ‘J Shoulder Elbow Surg, 25(7), pp. 1084-1093.
24. Kim SH, Wise BL, Zhang Y, Szabo RM (2011) ‘Increasing incidence of shoulderarthroplasty in the United States.’ J Bone Joint Surg Am, 21,93(24), pp. 2249-2254.
25. Kösters C, Schliemann B, Raschke M. Endoprothetik nach Trauma (2010) Trauma Berufskrankh, 12, pp. 47–52.
26. Lenarz C, Shishani Y, Gobezie R (2011) ‘Surface Replacement: The Hemicap Solution.’ Semin Arthro, 22, pp. 10-13.
27. Levy O, Copeland SA (2001) ‘Cementless surface replacement arthroplasty of the shoulder. 5- to 10-year results with the Copeland mark-2 prosthesis.’ J Bone Joint Surg Br, 83(2), pp. 213-221.
28. Levy O, Copeland SA (2004) ‘Cementless surface replacement arthroplasty (Copeland CSRA) for osteoarthritis of the shoulder. ‘J Shoulder Elbow Surg, 13(3), pp. 266-271.
29. Levy O, Tsvieli O, Merchant J, Young L, Trimarchi A, Dattani R et al. (2015) ‘Surface replacement arthroplasty for glenohumeral arthropathy in patients aged younger than fifty years: results after a minimum ten-year follow-up.’ J Shoulder Elbow Surg, 24(7), pp. 1049-1060.
30. McKenna RW, Chandler T (2015) ‘Outpatient Treatment of Compensated Cuff Arthropathy Using Inlay Arthroplasty with Subscapularis Preservation.’ Tech Shoulder Elbow Surg, 16(4), pp. 115-125.
31. McPherson EJ, Friedman RJ, An, YH, Chokesi R, Dooley L (1994) ‘Anthropometric study of normal glenohumeral relationships.’ J Shoulder Elbow Surg, 6, pp. 105-112.
32. Mechlenburg I, Amstrup A, Klebe T, Jacobsen SS, Teichert G, Stilling M (2013) ‘The Copeland resurfacing humeral head implant does not restore humeral head anatomy. A retrospective study.’ Arch Orthop Trauma Surg, 133(5), pp. 615-619.
33. Moros C, Ahmad CS (2009)’ Partial humeral head resurfacing and Latarjet coracoid transfer for treatment of recurrent anterior glenohumeral instability.’ Orthopedics, 32(8), pp. 602-605.
34. Mullett H, Levy O, Raj D, Even T, Abraham R, Copeland SA (2007) ‘Copeland surface replacement of the shoulder. Results of an hydroxyapatite-coated cementless implant in patients over 80 years of age.‘ J Bone Joint Surg Br, 89(11), pp. 1466-1469.
35. National Joint Replacement Registry, The Australian Orthopaedic Association. Hip, Knee and Shoulder Arthroplasty, Supplementary Report 2016 https://aoanjrr.sahmri.com/annual-reports-2016.
36. Neer CS (1955) ‘Articular replacement of the humeral head.’J Bone Joint Surg, 37A(2), pp. 215-228.
37. Padegimas EM, Maltenfort M, Lazarus MD, Ramsey ML, Williams GR, Namdari S (2015) ‘Future patient demand for shoulder arthroplasty by younger patients: national projections.’ Clin Orthop Relat Res, 473(6), pp. 1860-1867.
38. Patel RV, Apostle K, Leith JM, Regan WD (2008) ‘Revision arthroscopic capsulolabral reconstruction for recurrent instability of the shoulder.’ J Bone Joint Surg Br, 90(11), pp.1462-7.
39. Pinkas D, Wiater JM, Spencer EE Jr, Edwards TB, Uribe JW, Declercq G, Murthi AM, Hertel R (2015) ‘Shoulder prosthetic arthroplasty options in 2014: what to do and when to do it.’ Instr Course Lect, 64, pp. 193-202.
40. Radnay CS, Setter KJ, Chambers L, Levine WN, Bigliani LU, Ahmad CS (2007) ‘Total shoulder replacement compared with humeral head replacement for the treatment of primary glenohumeral osteoarthritis: A systematic review.’ J Shoulder Elbow Surg 16, pp. 396–402.
41. Sandow MJ, David H, Bentall SJ (2013) ‘Hemiarthroplasty vs total shoulder replacement for rotator cuff intact osteoarthritis: how do they fare after a decade?’ J Shoulder Elbow Surg, 22(7), pp. 877-885.
42. Sarrafian SK (1983) ‘Gross and functional anatomy of the shoulder.’ Clin Orthop, 173, pp. 11-19.
43. Schairer WW, Nwachukwu BU, Lyman S, Craig EV, Gulotta LV. (2015) ‘National utilization of reverse total shoulder arthroplasty in the United States.’ J Shoulder Elbow Surg, 24(1), pp. 91-97.
44. Schwartz BE, Savin DD, Youderian AR, Mossad D, Goldberg BA (2015) ‘National trends and perioperative outcomes in primary and revision total shoulder arthroplasty: Trends in total shoulder arthroplasty.’ Int Ortho,p 39(2), pp. 271-276.
45. Stilling M, Mechlenburg I, Amstrup A, Soballe K, Klebe T (2012) ‘Precision of novel radiological methods in relation to resurfacing humeral head implants: assessment by radiostereometric analysis, DXA, and geometrical analysis.’ Arch Orthop Trauma Surg, 132(11), pp. 1521-1530.
46. Sweet SJ, Takara T, Ho L, Tibone JE (2015) ‘Primary partial humeral head resurfacing:outcomes with the HemiCAP implant.’ Am J Sports Med, 43(3), pp. 579-587.
47. Uribe JW, Botto-van Bemden A (2009) ’Partial humeral head resurfacing forosteonecrosis.’ J Shoulder Elbow Surg, 18(5), pp. 711-716.
48. Walch G, Boileau P (1999) ‘Prosthetic adaptability: a new concept for shoulder arthroplasty.‘ J Shoulder Elbow Surg, 8(5), pp. 443-451.
49. Wataru S, Kazuomi S, Yoshikazu N, Hiroaki I, Takaharu Y, Hideki Y (2005) ‘Three-dimensional morphological analysis of humeral heads.’ Acta Orthopedica, 76(3), pp. 392-396.
50. Zumstein V, Kraljevic´ M, Hoechel S, Conzen A, Nowakowski AM, Müller-Gerbl M (2014) ‘The glenohumeral joint—a mismatching system? A morphological analysis of the cartilaginous and osseous curvature of the humeral head and the glenoid cavity. ’ J Orthop Surg Res, 9,34, pp. 1-6.
(Abstract Full Text HTML) (Download PDF)
Intramedullary Cortical Button Fixation of Distal Biceps Tendon Rupture: long-term Patient Outcomes”
/0 Comments/in Vol 1| Issue 1| Oct-Dec 2016 /by ASESADMIN2016Acta of Shoulder and Elbow Surgery | Volume 1 | Issue 1 | Oct-Dec 2016 | Page 20-26 | Jake J Ni, David M Auerbach.
Authors: Jake J Ni [1], David M Auerbach [2]
[1] Fellow, Southern California Orthopedic Institute.
[2] Attending, Southern California Orthopedic Institute.
Address of Correspondence
Dr. David M Auerbach, MD
6815 Noble Avenue
Van Nuys CA 91405
Emial: dauerbach@scoi.com
Abstract
Introduction: No consensus exists for optimal distal biceps rupture fixation. Dorsal cortical button (DCB) and dual incision transosseous (DITO) provide the greatest biomechanical load-to-failure, permitting earlier mobilization to prevent arthrofibrosis. Both methods have complications, restricted range of motion (ROM) from heterotopic ossification and proximal radioulnar synostosis for DITO while DCB has increased cutaneous and posterior interosseous nerve (PIN) injuries. The intramedullary cortical button (ICB) fixation limits PIN palsy risk, decreases implant costs and provides strong tendon-bone fixation.
Methods: 21 patients with ICB fixation of chronic and acute distal biceps ruptures at >1 year postoperatively completed a satisfaction survey and Disabilities of the Arm, Shoulder and Hand (DASH) questionnaire. ROM, neuropraxia and other complications obtained from chart.
Results: At 4 years average (1.3-7.4) 81% were extremely and 10% very satisfied with their overall outcome. 81% reported no strength or ROM limitations, 76% had pain-free activity, 86% and 81% were extremely satisfied with postoperative elbow ROM and forearm ROM respectively. The mean DASH and sports DASH score were 3.52 and 2.5. 52% had cutaneous deficits, 38% lateral antebrachial cutaneous nerve (LABCN) and 19% superficial radial nerve (SRN). No biceps re-ruptures or PIN palsies were observed.
Conclusion: The ICB technique provides secure distal biceps tendon fixation with excellent long-term patient satisfaction and comparable functional outcomes with restoration of normative DASH scores. The cutaneous nerve complication rate was comparable to other single incision studies and no observed PIN palsies or wound complications while decreasing implant costs.
Keywords: Distal biceps, Tendon repair; Single incision, Endobutton, Intramedullary fixation, Patient reported outcomes.
Introduction
Distal biceps tendon injuries are uncommon with an incidence of 1.2 per 100,000, affecting the dominant arm of males, 86% and 97% respectively, with 98% presenting in their 4th and 5th decades after a forced eccentric elbow extension(7,13,17,29,34,40). Suspected etiologies include a hypovascular zone and mechanical tendon impingement during full pronation(35). Cigarette smoking carries a 7.5x greater risk(29). Non-operative management is possible in low demand patients but anatomic repair restores the strength/endurance loss of 30%/40% for forearm supination and 20%/30% for elbow flexion(1,25,29,30). Fixation methods include dorsal cortical button (DCB), interference screw (IS) and suture anchor (SA) through a single anterior incision which decreases stiffness risk from heterotopic ossification (HO) and proximal radioulnar synostosis (PRUS) from the second posterior incision necessitated by the dual incision transosseous (DITO) technique developed by Boyd and Anderson (2,4,7). The Morrey modification decreases HO and PRUS risk by dissecting through the extensor carpi ulnaris (ECU) and avoiding ulna exposure. (22,30) DCB had the highest load-to-failure (LTF) in biomechanical studies but to date has not demonstrated clinical superiority over DITO(7,15,23,27,37,39). 30-50% incidence of cutaneous sensory nerve deficits (CSN) and a 1-15% incidence of posterior interosseous nerve (PIN) palsies have been reported with the DCB fixation, attributed to radial retraction at the radial tuberosity plus guide pin and cortical button location(13,40). PIN palsies have been noted after all techniques but are most frequently associated after the DCB(6,16,31). PIN palsies cause significant patient concern and disability despite spontaneous resolution, in a majority of cases, within 3-5 months(6,31). Tendon transfer for a permanent PIN injury has been reported(31). A distally or radially directed guide pin exits within 1-2mm of the PIN with 30% in direct nerve contact(13,26,31). Nerve injury risk remains despite techniques limiting PIN injury during guide pin advancement by altering pin trajectory to an AP direction with 0-30° ulnar angulation, tapping guide pin through the posterior soft tissues and intraoperative fluoroscopy to assess for soft tissue interposition between the DCB and cortex(6,21,26). In the ICB method, the cortical button is intramedullary, underneath the radial tuberosity as shown in Figure 1 a-b, eliminating PIN injury from the guide pin and cortical button. Two biomechanical studies have validated the load-to-failure strength of this method and a small three patient case series has demonstrated good short-term results(27,39,38). In contrast to the technique by Seibenlist(38), the senior author’s ICB technique utilizes a single intramedullary cortical button securing the biceps stump with two high-strength braided sutures. This article demonstrates the long-term clinical outcomes of this novel technique.
Methods
This institution’s research ethics board approved of this study. The study was a retrospective case series of consecutive patients undergoing a distal biceps tendon repair by the senior author. Patients were identified by CPT code search from January 2009 through April 2016. The exclusion criteria included minors, prior/current legal action with the author’s orthopedic group, and transfer of care in a worker’s compensation setting. Inclusion criteria included ICB repair of acute or chronic ruptures without allograft and greater than 1 year follow-up. A total of 32 distal biceps tendon ruptures were identified in 31 patients. 21 (68%) completed a Disabilities of the Arm Shoulder and Hand (DASH) and sports DASH plus a satisfaction questionnaire. Chart and radiographs were reviewed for ICB location, chronicity of injury, time to surgery, presence of wound complications, motor or sensory nerve deficits with resolution timeframe, ROM, and re-rupture.
Surgical technique and postoperative protocol
The ICB technique utilizes a 4cm transverse anterior incision 2cm distal to the distal antecubital flexion crease with dissection between the brachioradialis and pronator teres. The biceps tendon stump is mobilized as necessary for tendon excursion. The biceps tuberosity is prepared with a curette or high-speed burr creating a clean, bleeding bony surface. A #2 high-strength braided suture is threaded through the toggle hole at both ends of a Smith and Nephew EndobuttonTM.
A needle and suture passes one suture pair into the 4.7mm hole and out the 2mm hole drilled with mild convergence in the distal and proximal tuberosity footprint separated by a 1.5cm bony bridge. This suture pair shuttles the EndobuttonTM into the intramedullary canal with both limbs of each suture exiting their respective hole. Figure 2 a-h illustrates the technique. One limb from each suture is whipstitched proximally and back distally. Tensioning the free suture limb exiting the 2mm hole and tying to its free suture pair compresses the biceps stump against the radial tuberosity and secures the EndobuttonTM against the intramedullary cortex at the 2mm hole. Finally the free suture limb exiting the 4.7mm hole is tensioned and tied with its suture pair limb, evenly distributing the tendon compression over the entire tuberosity footprint.
Figure 3 a-e depicts the tendon reduction and fixation. Intraoperative photographs are shown in Figure 4 a-g. No postoperative HO prophylaxis is routinely used. Postoperatively, a soft dressing and a posterior long-arm splint with the elbow at 90° flexion and forearm maximally supinated is applied. At 1 week, if a tension free biceps tendon repair was possible without elbow flexion, gentle elbow and forearm motion is permitted in a hinged elbow brace limiting the terminal 30° of extension. If elbow flexion is necessary to achieve a tension-free repair, elbow ROM is delayed for 4 weeks in a long-arm cast at 90° elbow flexion and full supination before transitioning to a hinged elbow brace permitting motion except for the terminal 30° of extension. For all patients, the brace is fully unlocked at 6 weeks, allowing full elbow ROM and the brace is discontinued at 8 weeks. The patient begins formal physical therapy at 8 weeks for ROM and strengthening at 12 weeks. The patient is cleared for full activities at 6 months.
Result
All patients were male, averaging 49 years (30-60) and involved the dominant arm in 52% (15/28). 10% (3/31) had bilateral ruptures, the senior author operated bilaterally on one. Former or current smokers comprised 32% (10/31) of patients, including 2 of 3 bilateral ruptures. There were 2 (6.5%) diabetic patients in this study, one who ruptured both distal biceps tendons. 68% (21/31) completed questionnaires at 4 years on average (range 1.3 to 7.4 years), 71% (15/21) also completed the sports DASH. The mean DASH and sports DASH score was 3.52 and 2.5 respectively. 81% (17/21) were extremely satisfied with their overall outcome and 10% (2/21) very satisfied. The mean DASH and sports DASH scores improved to 0.93 and 1.04 respectively with 93% (14/15) extremely satisfied after excluding WC patients. 81% (17/21) reported no motion or strength activity limitations. 76% (16/21) had no pain with any activity. 86% (18/21) and 81% (17/21) of patients are extremely satisfied with postoperative elbow ROM and forearm ROM respectively. 67% (14/21) of patients are extremely satisfied with elbow flexion and forearm supination strength. See Table 1 for summary of results.
Complications
No incidences of PRUS were noted and only 6.5% (2/31) developed HO. All regained full elbow ROM at 20 weeks average (range 4-40 weeks). 9.5% (2/21) lacked more than 50° and 19% (4/21) lacked more than 20° of total forearm rotation at final clinic follow-up, with the two HO patients losing 20° and 40°. Both regained full forearm rotation at 2 and 4 years during re-examination while completing the questionnaire. The EndobuttonTM was located on the intramedullary radial tuberosity footprint in all repairs except 9.5% (2/21) were angled 10-15 degrees towards the proximal drill hole. Nerve injuries were noted in 52% (11/21) of patients, consisting of 66% (38% 8/21) LABCN and 36% (19% 4/21) SRN. At the last clinic follow up visit, 19 weeks average, 50% of both (4/8) LABCN and (2/4) SRN deficits spontaneously resolved. At time of study, another 50% had resolved with only minimal deficits remaining in 25% of the initial (2/8) LABCN and (1/4) SRN injuries. No patients in the study re-ruptured their repaired biceps tendon, developed a PIN palsy or experienced a wound infection.
Discussion
No consensus exists regarding the optimal fixation technique for distal biceps tendon, with common techniques utilizing DCB, SA, or IS fixation through a single incision or a DITO repair. Each has advantages and disadvantages with no clear superiority demonstrated consistently in the literature. DCB and DITO fixation have the greatest biomechanical load-to-failure strength but have respective complications of PIN palsy and decreased ROM from HO and PRUS. The ICB technique’s rationale is decreased cost in comparison to double SA, minimize PIN injury risk of the DCB by eliminating dorsal radius cortical violation and cortical button placement near the PIN while creating a strong tendon-bone interface to aid biologic healing to prevent recurrent rupture and permit early ROM to prevent arthrofibrosis. Patients reported high satisfaction rates and comparable DASH scores to studies utilizing different fixation methods. 91% of patients were either extremely (81%) or very satisfied (10%) with their overall outcome. These satisfaction rates were similar those observed by Cohen(9) with 89% either extremely (72%) or very satisfied (16%) and McKee (28) with 81% very satisfied as shown in Table 2. The high overall satisfaction rates were also reflected in the restoration of normative DASH scores equivalent to the general population(18,19). Our observed mean DASH score of 3.52 was comparable to recent studies, see Table 2, with values from 3.1 to 10.3 and within the minimal clinical important difference (MCID) of 9.6 to 15(1,5,9,14,16,18,28,32,36). Only 4% (1/21) had >50° and 19% (4/21) had >20° loss of total supination/pronation at time of this study at 20 months average. A prospective randomized study of SA versus DITO fixation by Grewal(16) noted no significant difference in patient reported outcomes including DASH, ASES, PREE, and VAS at 2 years postoperatively. The authors did note a significant difference of 10% greater elbow flexion strength in DITO but no difference in ROM was noted with a mean supination of 64° and pronation of 77° for SA fixation. There were 6 worker’s compensation (WC) patients, shown to have worse outcomes overall, included in this study with only half extremely satisfied with worse mean DASH scores of 10 and 8.33(24). Atanda(1) examined WC’s effect on distal biceps tendon repair outcomes and noted statistically significant worse mean DASH and sports DASH scores in WC patients of 3.35 and 0.2 versus 0.4 and 0.1 for non-WC patients. Slower return to full duty of 4 months compared to 1.4 months in non-WC patients was also noted. McKee(28) also observed a statistically significant difference in mean DASH scores of 5.5 in non-WC versus 16.9 in WC patients(28). We observed a similar trend with a mean DASH of 10 in WC patients versus 0.93 for non-WC patients. Similarly, the percentage of extremely satisfied patients improved to 93% from 85%. Besides obtaining good patient outcomes and satisfaction, limiting postoperative complications is important with published studies reporting an increased incidence of CSN deficits after a single anterior incision compared to DITO(16). The most common CSN injury is the LABCN estimated at 5%-57% followed by SRN at 5%-10%(8,11,13,15,16,20,31,33,36,41). Grewel (16) noted a 40% (19/47) incidence of LABCN sensory deficits in SA versus (2/47) 4.3% in DITO. All but 3 had resolved spontaneously by 6 months and 2 remaining at 2 years. Cusick (10) noted complete resolution of all 22 sensory nerve deficits at 8 months including 10% (17/170) LABCN, 1.5% (2/170) SRN, and 2.3% (3/170) local incisional numbness, see Table 3. Motor nerve palsies have been noted with PIN palsies, occurring in 1%-10% and believed to be more prevalent after DCB fixation but has been observed after all techniques(13,31). Nigro(31) reported a 3.2% incidence of PIN neuropraxias in a literature review. Patients had a good prognosis overall with spontaneous recovery at an average of 86 days in a large majority of patients. Cusick(10) noted a 2.3% (3/170) incidence of PIN neuropraxia with spontaneous recovery after combination DCB and IS fixation. The PIN is believed to be at greatest risk during DCB fixation as the guide pin exits the dorsal cortex as close as 2mm on average to the PIN nerve with distal and radial direction of the guide pin. A transverse incision in the antecubital flexion crease is cosmetic, but its location ~2cm proximal to the tuberosity will push the guide pin’s trajectory distally, therefore increasing PIN injury risk. An anterior-posterior (AP) and ulnarly deviated direction increases the guide pin to PIN distance to 11mm-16mm. (26) However, directing the path too ulnarly risks ulna penetration or ulna-implant impingement in full supination. The ICB technique moves the incision 2cm distally, placing it directly over the biceps tuberosity, allowing AP drilling in the biceps footprint and minimizes PIN nerve injury risk as the dorsal cortex is not violated by the guide pin or EndobuttonTM. Other sources of PIN injury include placement of retractors radially on the radius and excessive radial soft tissue retraction(13,31). Many cases of HO are asymptomatic with rates ranging from 0%-25% and found on radiographs while others decrease ROM and, along with PRUS, cause decreased forearm rotation(6,13,40). Studies of the Boyd-Anderson DITO report an incidence of 15% HO and 5% PRUS(12,13). The decrease in incidence of symptomatic HO and PRUS is due to the increasing popularity of single incision fixation, the Morrey modification that dissects through the ECU, avoids interosseous membrane violation and ulna periosteal stripping, see Table 3 (2,22).
We noted no PRUS and 2 cases (9.5%) of HO noted on postoperative radiographs. Both had full elbow ROM but the first had 40° loss of total forearm rotation with 60° of supination at 10 months while the second had 20° of total forearm rotation at 7 ½ months. However on re-examination at time of study, both patients had full symmetric bilateral forearm rotation with 85° of supination and 90° pronation. This suggests that patients with limited forearm rotation at up to 10 months can continue to see improvement over time and achieve full ROM. There were no observed re-ruptures in this study with the reported rate in the literature ranging from 0-5.6%(7,13,16,29,40). However, this study may not have been powered to capture a re-rupture and patients followed a protective postoperative protocol. Grewal(16) noted a 4.4% re-rupture rate in 91 patients treated with either SA or DITO repairs. All 4 occurred during the early postoperative period due to non-compliant activities. Wang(40) reported a 5.4% re-rupture rate, with a non-significant trend towards higher rates in chronic tears. Citak(8) noted a 5.6% re-rupture rate in 54 patients undergoing SA repair with Titan Corkscrew, Super Quick Anchor Plus or DITO. All the ruptures occurred in the Super Quick Anchor Plus suture anchor group. Reliable tendon-bone healing requires rigid fixation with both high LTF and low cyclical displacement. The highest LTF of common fixation methods in biomechanical testing was the DCB as described by Bain(2,16). In testing by Siebenlist(27), the LTF of ICB not statistically different at 275N compared to 305N for DCB despite a thinner biceps tuberosity cortex but both values were significantly less than the LTF of an intact biceps tendon. In comparison to a double suture anchor fixation method, Siebenlist(38) reported a non-significant trend towards less displacement under cyclical loading of a double ICB construct, which doubles the button/bone contact surface area with identical suture/tendon fixation as the single ICB.
Conclusion
ICB fixation provides biomechanically solid bone-tendon fixation performed through a single anterior incision to minimize symptomatic HO and PRUS risk, yielding comparable cutaneous nerve complications rates to other single anterior incision fixation methods while minimizing the PIN neuropraxia risk observed with DCB fixation. Patient satisfaction rates, DASH scores and ROM are comparable to studies utilizing other fixation methods. Patients with decreased forearm motion at up to 10 months postoperatively can continue to improve their motion and achieve symmetric motion with time. The paper’s strengths includes long-term clinical follow-up, validated patient reported outcome questionnaire, single surgeon with a single technique, and no exclusion for chronic tears or allograft use. The weaknesses include limited patient follow-up leading to selection bias and underestimation of complications and poorer outcomes, low number of objective patient physical examinations, retrospective nature of study, and no cohort comparison with alternative repair method.
References
1. Atanda A Jr, O’Brien D, Kraeutler M, Rangavajjula A, Lazarus M Ramsey ML et al. Outcomes after distal biceps repair in patients with workers’ compensation claims. J Shoulder Elbow Surg. 2013; 22(3):299-304.
2. Bain G, Prem H, Heptinstall R, Verhellen R & Paix D. Repair of distal biceps tendon rupture: a new technique using the Endobutton. J Shoulder Elbow Surg. 2000; 9(2):120-126.
3. Baker B & Bierwagen D. Rupture of the distal tendon of the biceps brachii. Operative versus non-operative treatment. J Bone Joint Surg Am. 1985; 67(3):414-417.
4. Boyd H & Anderson LA. method for reinsertion of the distal biceps brachii tendon. J Bone Joint Surg Am. 1961; 43(7):1041-1043.
5. Caekebeke P, Corten K & Duerinckx J. Distal biceps tendon repair: comparison of clinical and radiological outcome between bioabsorbable and nonabsorbable screws. J Shoulder Elbow Surg. 2016; 25(3):349-354
6. Cain R, Nydick J, Stein M, Williams B, Polikandriotis J & Hess A. Complications following distal biceps repair. J Hand Surg Am. 2012; 37(10):2112-2117.
7. Chavan P, Duquin T & Bisson L. Repair of the ruptured distal biceps tendon: a systematic review. Am J Sports Med. 2008; 36(8):1618-1624.
8. READ Citak M, Backhaus M, Seybold D, Suero E, Schildhauer T & Roetman B. Surgical repair of the distal biceps brachii tendon: a comparative study of three surgical fixation techniques. Knee Surg Sports Traumatol Arthrosc. 2011;19(11):1936-41.
9. Cohen S, Buckley P, Neuman B, Leland J, Ciccotti M & Lazarus M. (2016) A functional analysis of distal biceps tendon repair: single-incision Endobutton technique vs. two-incision modified Boyd-Anderson technique. Phys Sports med. 2016; 44(1):59-62.
10. Cusick M, Cottrell B, Cain R & Mighell M. Low incidence of tendon rerupture after distal biceps repair by cortical button and interference screw. J Shoulder Elbow Surg. 2014; 10:1532-1536.
11. Eardley W, Odak S, Adesina TS, Jeavons R & McVie J. Bioabsorbable interference screw fixation of distal biceps ruptures through a single anterior incision: a single-surgeon case series and review of the literature. Arch Orthop Trauma Surg. 2010; 130(7):875-881.
12. Failla J, Amadio P, Morrey BF & Beckenbaugh R. Proximal radioulnar synostosis after repair of distal biceps brachii rupture by the two-incision technique. Report of four cases. Clin Orthop Relat Res. 1990; 253:133-136.
13. Garon M & Greenberg J. Complications of Distal Biceps Repair. Orthop Clin North Am. 2016; 47(2):435-444.
14. Giacalone F, Dutto E, Ferrero M, Bertolini M, Sard A & Pontini I. Treatment of distal biceps tendon rupture: why, when, how? Analysis of literature and our experience. Musculoskelet Surg. 2015; 99 Suppl 1:S67-73.
15. Greenberg J, Fernandez J, Wang T & Turner C. EndoButton-assisted repair of distal biceps tendon ruptures. J Shoulder Elbow Surg. 2003; 12(5):484-490.
16. Grewal R, Athwal G, MacDermid J, Faber K, Drosdowech D, El-Hawary R et al. Single versus double-incision technique for the repair of acute distal biceps tendon ruptures: a randomized clinical trial. J Bone Joint Surg Am. 2012; 94(13):1166-1174.
17. Hinchey J, Aronowitz J, Sanchez-Sotelo J & Morrey BF. Re-rupture rate of primarily repaired distal biceps tendon injuries. J Shoulder Elbow Surg. 2014; 23(6):850-854.
18. Hudak P, Amadio P & Bombardier C. Development of an upper extremity outcome measure: the DASH (disabilities of the arm, shoulder and hand). The Upper Extremity Collaborative Group (UECG). Am J Ind Med. 1996; 29(6):602-608.
19. Hunsaker F, Cioffi D, Amadio P, Wright J & Caughlin B. The American academy of orthopaedic surgeons outcomes instruments: normative values from the general population. J Bone Joint Surg Am. 2002; 84-A(2):208-215.
20. Read Johnson T, Johnson D, Shindle M, Allen A, Weiland A, Cavanaugh J, et al. One versus two-incision technique for distal biceps tendon repair. HSS J. 2008; 2:117-122.
21. Karunakar M, Cha P & Stern P. Distal biceps ruptures. A followup of Boyd and Anderson repair. Clin Orthop Relat Res. 1999; 363:100-107.
22. Kelly E, Morrey BF & O’Driscoll SW. Complications of repair of the distal biceps tendon with the modified two-incision technique. J Bone Joint Surg Am. 2000; 82-A(11):1575-1581.
23. Kettler M, Lunger J, Kuhn V, Mutschler W & Tingart M. Failure strengths in distal biceps tendon repair. Am J Sports Med. 2007; 35:1544-1548.
24. Koljonen P, Chong C & Yip D. Difference in outcome of shoulder surgery between workers’ compensation and nonworkers’ compensation populations. Int Orthop. 2009; 33(2):315-320.
25. Legg A, Stevens R, Oakes N & Shahane S. A comparison of nonoperative vs. Endobutton repair of distal biceps ruptures. J Shoulder Elbow Surg. 2016; 25(3):341-348.
26. Lo E, Li C & Van den Bogaerde J. The effect of drill trajectory on proximity to the posterior interosseous nerve during cortical button distal biceps repair. Arthroscopy. 2011; 27(8):1048-54.
27. Mazzocca A, Burton K, Romeo A, Santangelo S, Adams D & Arciero R. Biomechanical evaluation of 4 techniques of distal biceps brachii tendon repair. Am J Sports Med. 2007; 35(2):252-258.
28. McKee M, Hirji R, Schemitsch E, Wild L & Waddell J. Patient-oriented functional outcome after repair of distal biceps tendon ruptures using a single-incision technique. J Shoulder Elbow Surg. 2005; 14(3):302-306.
29. Miyamoto R, Elser F & Millett P. Distal biceps tendon injuries. J Bone Joint Surg Am. 2010; 92(11):2128-2138.
30. Morrey B, Askew L, An K & Dobyns J. Rupture of the distal tendon of the biceps brachii. A biomechanical study. J Bone Joint Surg Am. 1985;67(3):418-421.
31. Nigro P, Cain R & Mighell M. Prognosis for recovery of posterior interosseous nerve palsy after distal biceps repair. J Shoulder Elbow Surg. 2013; 22(1):70-73.
32. Olsen J, Shields E, Williams R, Miller R, Maloney M & Voloshin I. A comparison of cortical button with interference screw versus suture anchor techniques for distal biceps brachii tendon repairs. J Shoulder Elbow Surg. 2014; 23(11):1607-1611.
33. Recordon JA, Misur PN, Isaksson F & Poon P. Endobutton versus transosseous suture repair of distal biceps rupture using the two-incision technique: a comparison series. J Shoulder Elbow Surg. 2015; 24(6):928-933.
34. Safran M & Graham S. Distal biceps tendon ruptures: incidence, demographics, and the effect of smoking. Clin Orthop Relat Res. 2002; 404:275-83.
35. Seiler J 3rd, Parker L, Chamberland P, Sherbourne G & Carpenter W. The distal biceps tendon. Two potential mechanisms involved in its rupture: arterial supply and mechanical impingement. Shoulder Elbow Surg. 1995; 4(3):149-156.
36. Shields E, Olsen J, Williams R, Rouse L, Maloney M & Voloshin I. Distal biceps brachii tendon repairs: a single-incision technique using a cortical button with interference screw versus a double-incision technique using suture fixation through bone tunnels. Am J Sports Med. 2015; 43(5):1072-1076.
37. Siebenlist S, Buchholz A, Zapf J, Sandmann GH, Braun K, Martetschläger F. Double intramedullary cortical button versus suture anchors for distal biceps tendon repair: a biomechanical comparison. Knee Surg Sports Traumatol Arthrosc. 2015; 23(3):926-933.
38. Siebenlist S, Elser F, Sandmann GH, Buchholz A, Martetschläger F, Stöckle U et al. The double intramedullary cortical button fixation for distal biceps tendon repair. Knee Surg Sports Traumatol Arthrosc. 2011; 19(11):1925-1929.
39. Siebenlist S, Lenich A, Buchholz A, Martetschläger F, Eichhorn S, Heinrich P et al. Biomechanical in vitro validation of intramedullary cortical button fixation for distal biceps tendon repair: a new technique. Am J Sports Med. 2011;39(8):1762-1768.
40. Wang D, Joshi N, Petrigliano F, Cohen J, Lord E, Wang J et al. Trends associated with distal biceps tendon repair in the United States, 2007 to 2011. J Shoulder Elbow Surg. 2016; 25(4):676-680.
41. Watson J, Moretti V, Schwindel L & Hutchinson M. Repair techniques for acute distal biceps tendon ruptures: a systematic review. J Bone Joint Surg Am. 2014; 96(24):2086-90.
42. Weinstein D, Ciccone W 2nd, Buckler M, Balthrop P, Busey T & Elias J. Elbow function after repair of the distal biceps brachii tendon with a two-incision approach. J Shoulder Elbow Surg. 2008; 17(1 Suppl):82S-86S.
(Abstract Full Text HTML) (Download PDF)
Balancing Evidence based medicine with Experience based practice
/0 Comments/in Vol 1| Issue 1| Oct-Dec 2016 /by ASESADMIN2016Acta of Shoulder and Elbow Surgery | Volume 1 | Issue 1 | Oct-Dec 2016 | Page 2-3 | Ashok K. Shyam, Parag K. Sancheti
Author: Ashok K. Shyam [1,2], Parag K Sancheti [1].
[1] Sancheti Institute for orthopaedics and Rehabilitation, Pune, India.
[2] Indian Orthopaedic Research Group, Thane, India
Address of Correspondence
Dr Ashok Shyam
IORG House, Mantahn Apts, shreesh CHS, Hajuri Road, Thane
Email: dr ashokshyam@gmail.com
Evidence based medicine (EBM) has been marked as a major discoveries in medicine and has been considered one of the top 15 medical milestones of 20th Century by readers of the British Medical Journal [1]. But is EBM enough for clinical decision making (CDM)?
Historically EBM splashed as a revolutionary idea of its time against the then existing ‘expert opinion’ culture. There was building discontent over a period of time against this lopsided and subjective nature of clinical medicine which was based on pathoanatomical knowledge, personal experience and individual opinions of the clinicians. EBM was a revolt against such existing system and an attempt to introduce objectivity into the clinical paradigm. Not that the earlier system was completely wrong, but probably it was inadequate and lagging behind the advances in medical knowledge and research, especially clinical epidemiology and biostatistics. EBM introduced these concepts and evolved into a completely new paradigm of objective clinical decision making. The EBM movement received lot of support and grew rapidly through frameworks of randomised controlled trials, systematic reviews, metanalysis and concepts of hierarchy of evidence and grades of recommendations. But like every new paradigm, it slowly started to manifest its shortcomings too.
Similar to the previous ‘subjective’ paradigm, EBM suffered from too much objectivity. The aim of EBM to reduce bias, improved the internal validity of the studies, but decreased the external validity (generalisability). The studies became more and more consistent within themselves but less and less applicable to the real world scenarios [2]. As EBM became more technical and statistical, the understanding of these concepts among clinicians lagged behind. Today many of us are not aware of the statistical tests and the clinical design which are used for most of the randomised trials and have to depend on the analysis of ‘expert’ in EBM for a summary! Randomised trials have become expensive and at times the designs are difficult to construct specially in a surgical field like orthopaedics [3]. Factors like patient preferences and surgeons expertise have no way to be accounted into the framework, in fact these are actively ignored by the randomised design. In many cases the good quality evidence simply does not exist and many metanalysis end with the phrase, ‘more trial are needed for strong recommendations’. The issues of industry run trials and conflict of interest have additionally plagued the scenario not only of EBM but of scientific literature in general [4]. Most of the clinicians currently struggle to apply EBM to their practises and continue to practice medicine the old ways. EBM is not able to achieve its goal of integrating itself completely into the clinical decision making process [4]. These issues do not, however, take away importance of EBM and its relevance in today’s clinical world but it surely advocates for a different approach toward EBM. The concept of EBM is also exhibiting flexibility and is allowing observational and pragmatic controlled trials to gain more importance along with randomised trials [5].
Before the advent of EBM, expert opinion and subjective experience played important role, now EBM based guidelines play the same role. The pendulum has swung from one end to another and with new set of shortcomings. Combining both objective and subjective clinical knowledge is needed to achieving an effective clinical decision making. There is an urgent need to integrate clinical experience with clinical evidence and the only way to do this is to have two way approach from both parties viz the EBM group and the clinician group. From EBM side every attempt should be made to simplify the studies and focus on studies that are more pragmatic. The IDEAL Collaboration is one such initiative [6] and we hope the Acta of Shoulder and Elbow Surgery will help in developing this idea. From the clinical side it is essential that clinicians understand the EBM concepts and keep themselves informed about the latest research. Along with clinical experience, every clinician should also develop experience in critical appraisal of literature. With the increased number of papers published every day, clinicians must be able to differentiate between good evidence and bad evidence. Currently EBM cannot account for surgeon’s expertise and patient preferences and these responsibility lies with the surgeon himself. Depending on his expertise and the patient’s preferences, along with Evidence from literature, a surgeon must be able to make a clinical decision which is best suited for individual patients [7]. Also at times clinicians are sceptical about EBM, which they believe is here to replace their clinical acumen. EBM is here to inform us and help us make more relevant decisions rather than to dictate our decisions. A confidence building from both side is needed and also certain modifications are needed in approach of these sections. This will not only help in positively impacting patient care but will also help in coexistence and rapid development of both the faculties of EBM and Clinical reasoning.
References
Dr Ashok Shyam
(Abstract Full Text HTML) (Download PDF)